Nordic
Kulzer globes image
Countries
Newsletter
Contact
Countries
Newsletter
Contact
Be part of it
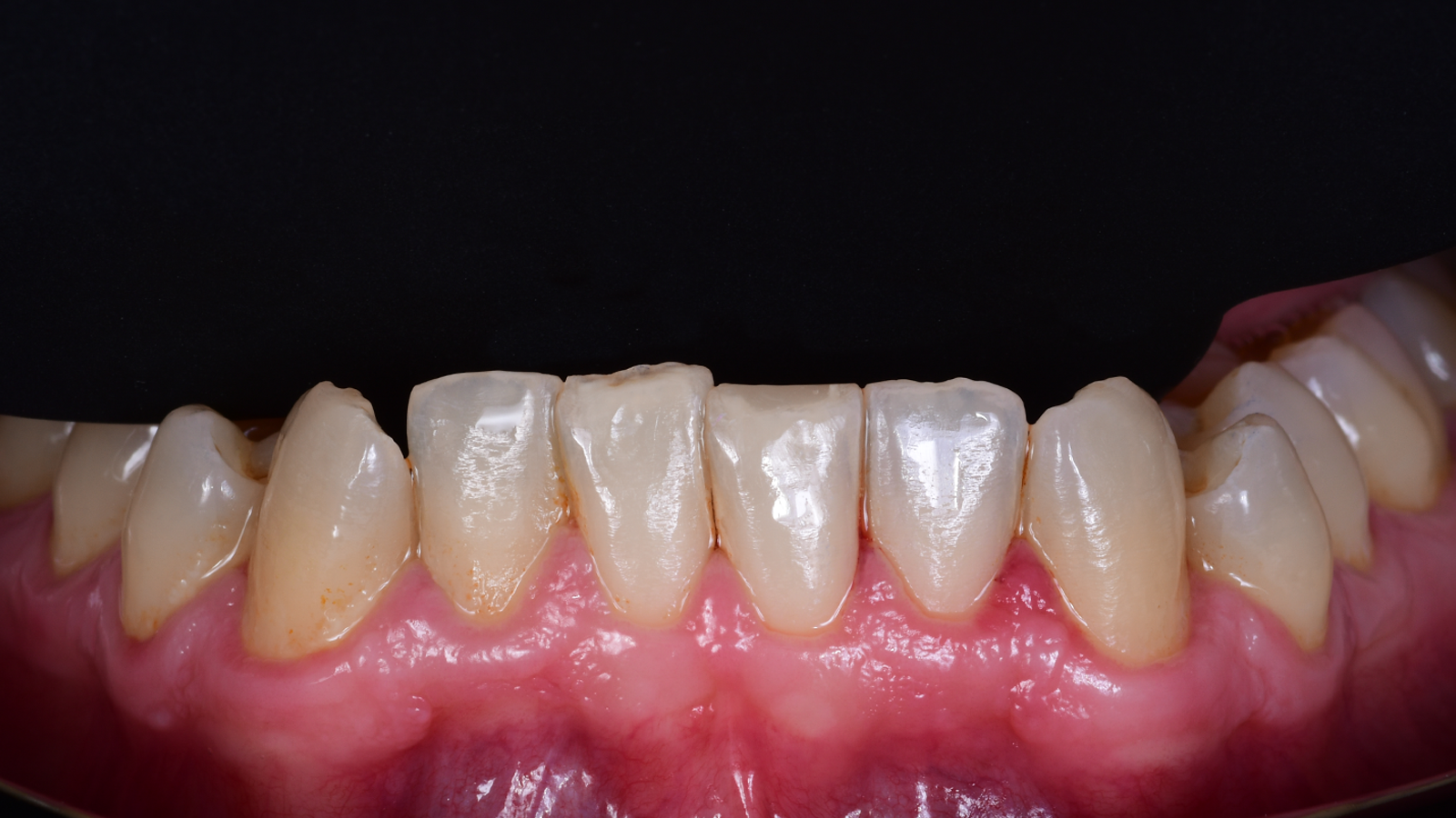
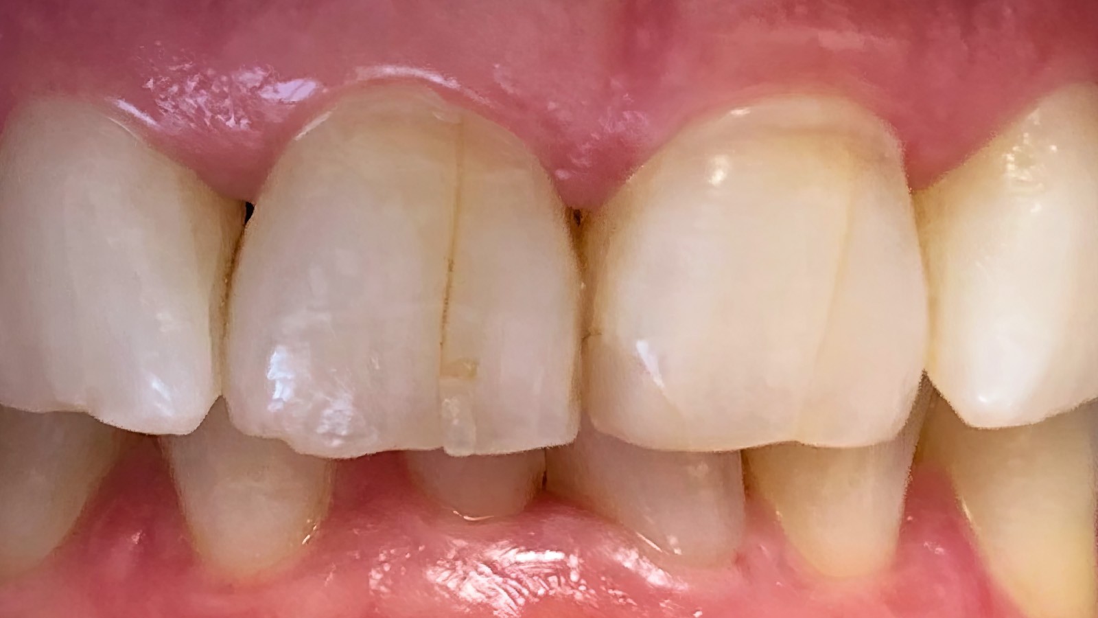
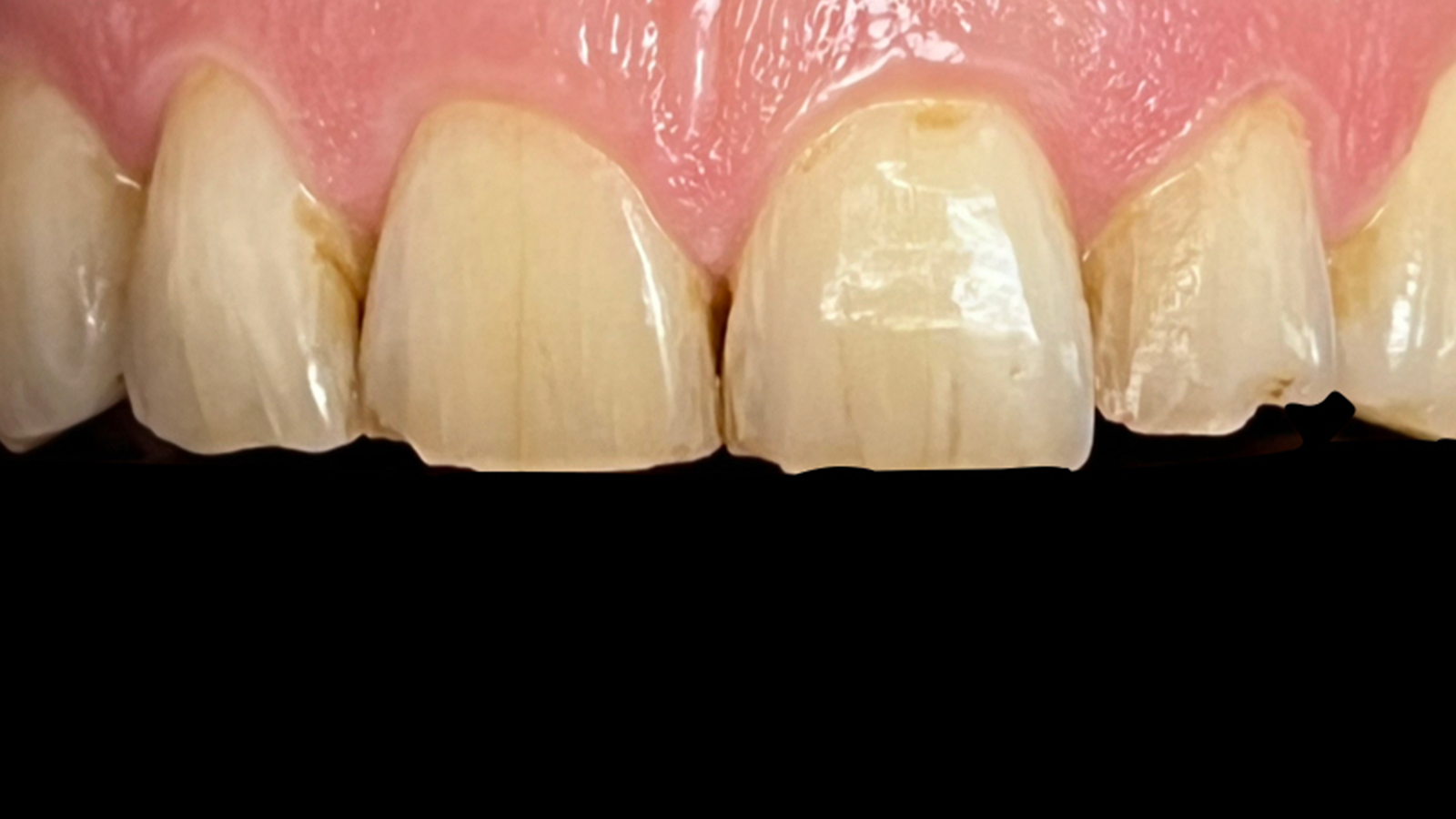
Cases with Venus Pure Shades
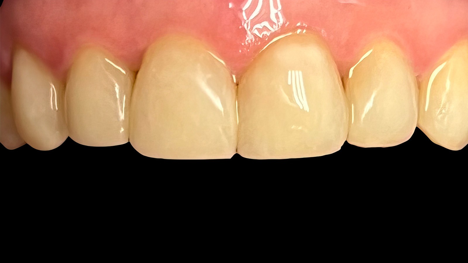
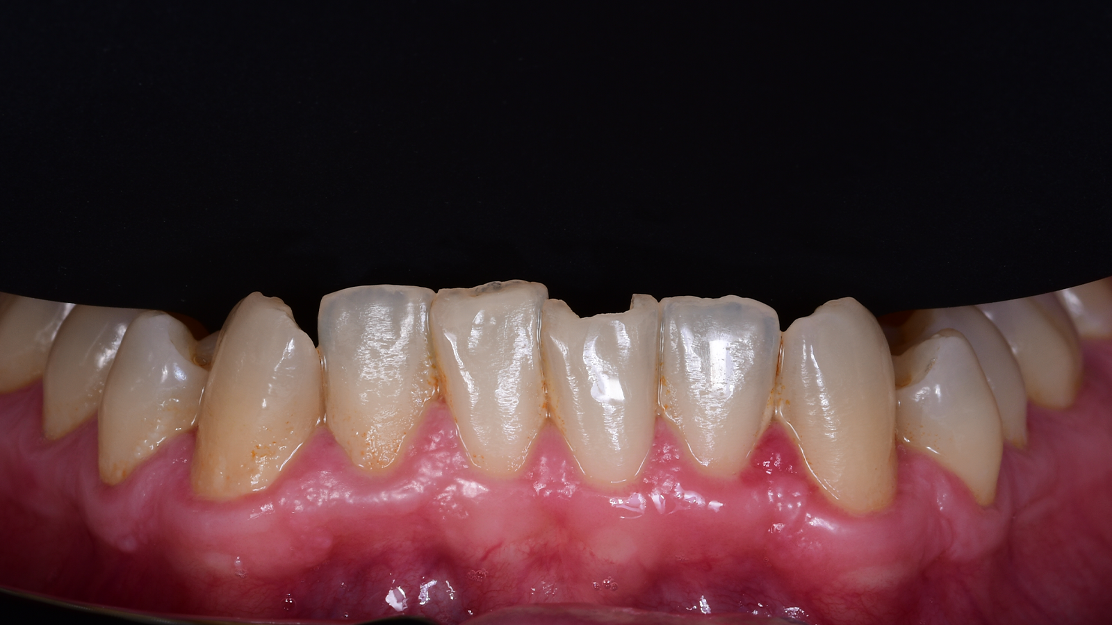
Before
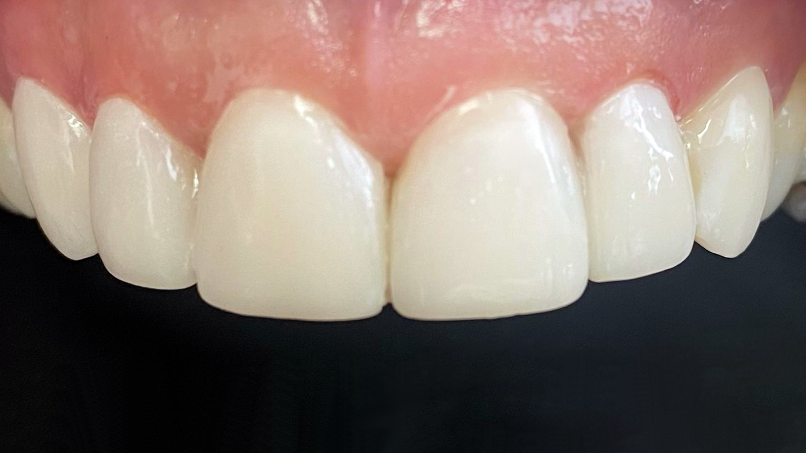
After

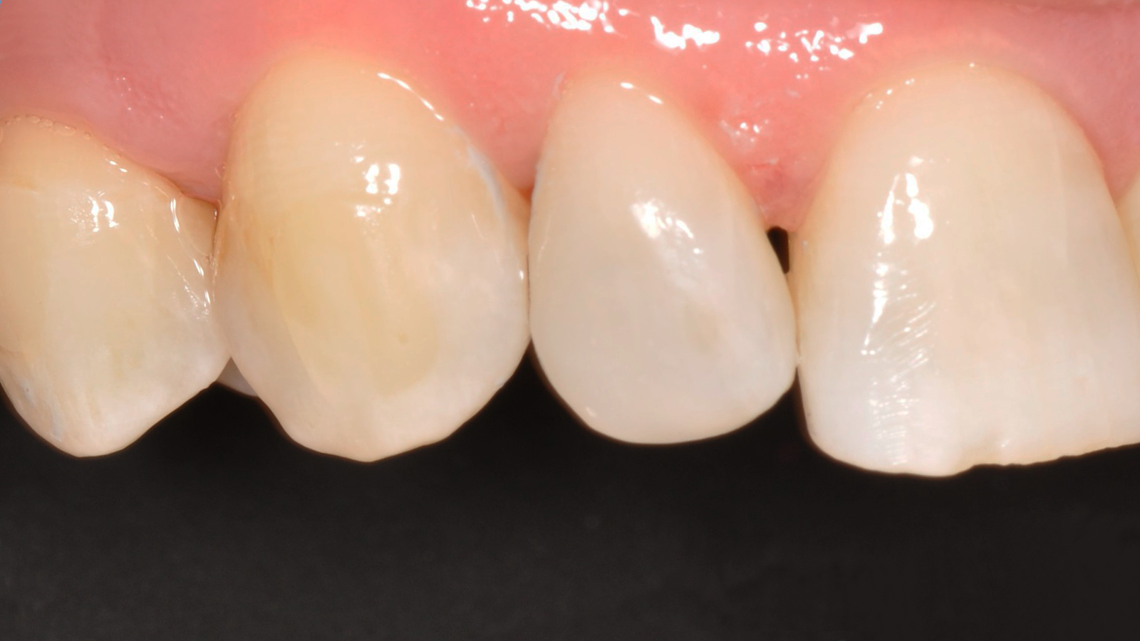
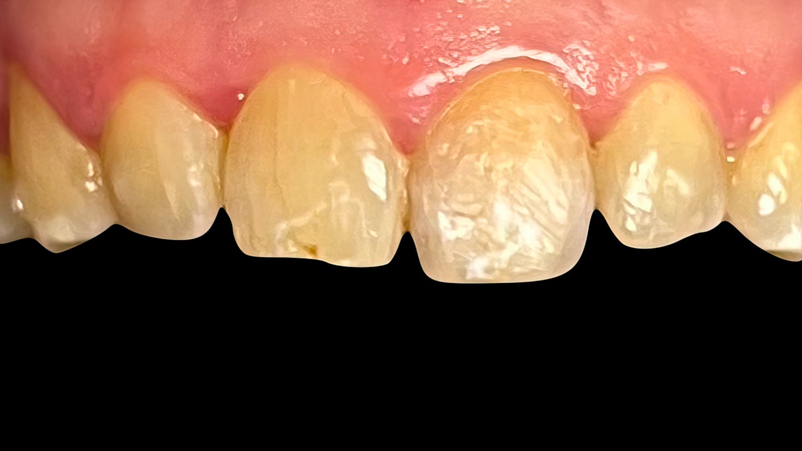
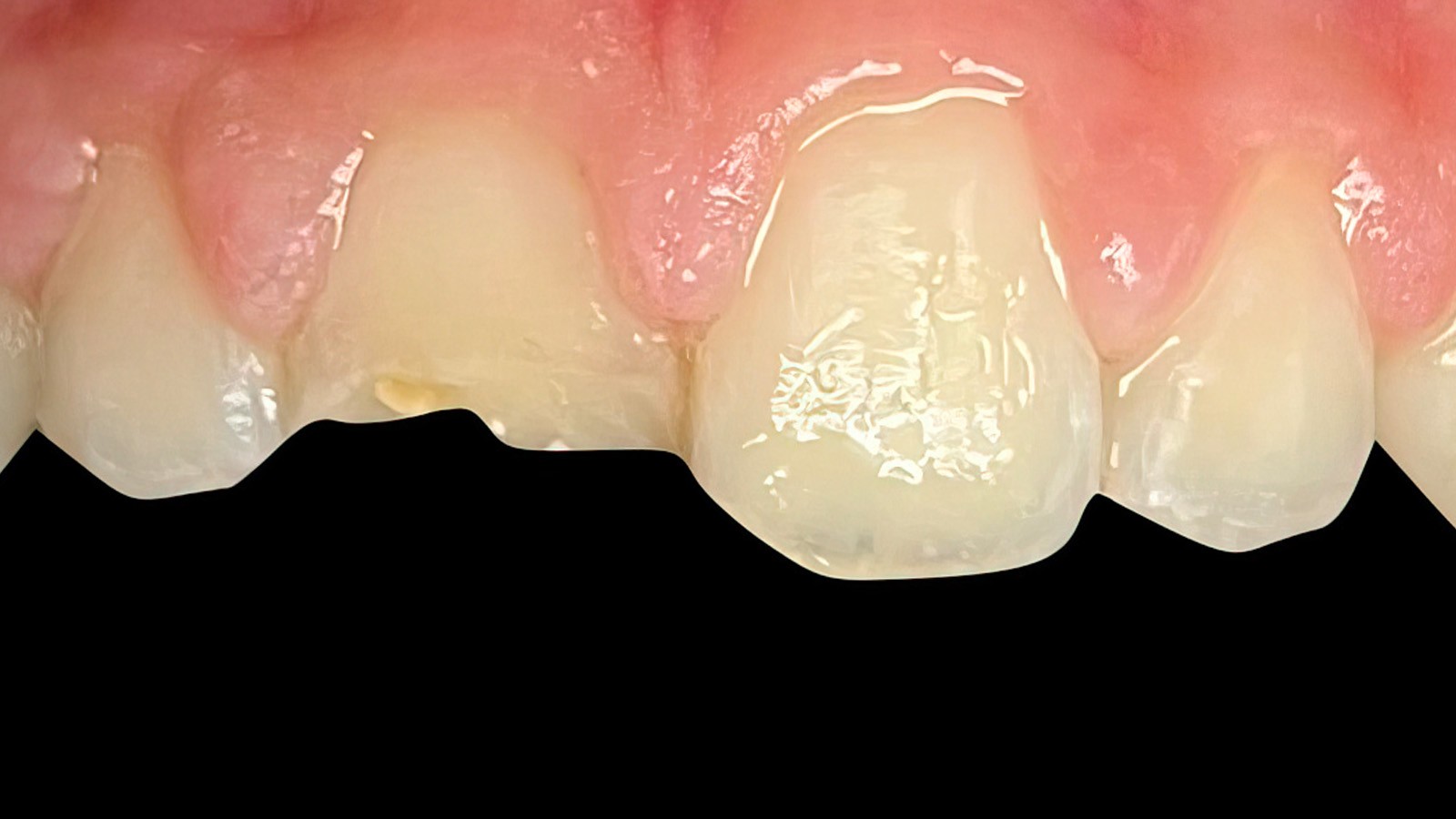
Minimal invasive monochromatic aesthetic reconstruction of the upper incisors with Venus Pearl BLEACH (Dr Azadeh Balalaie).

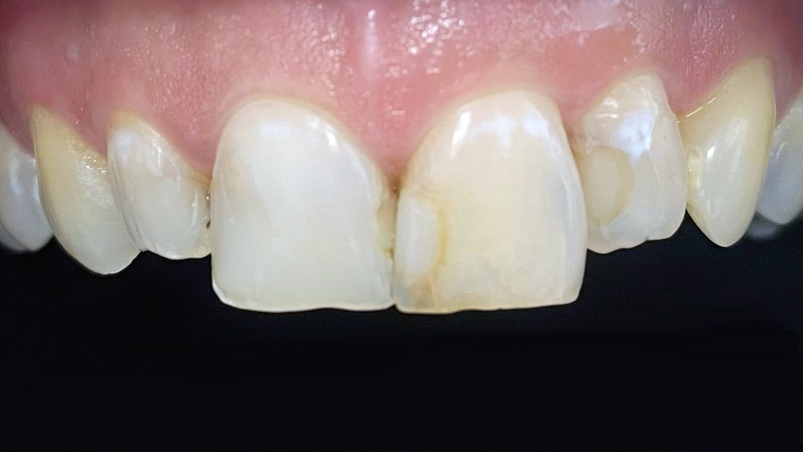
Before
After

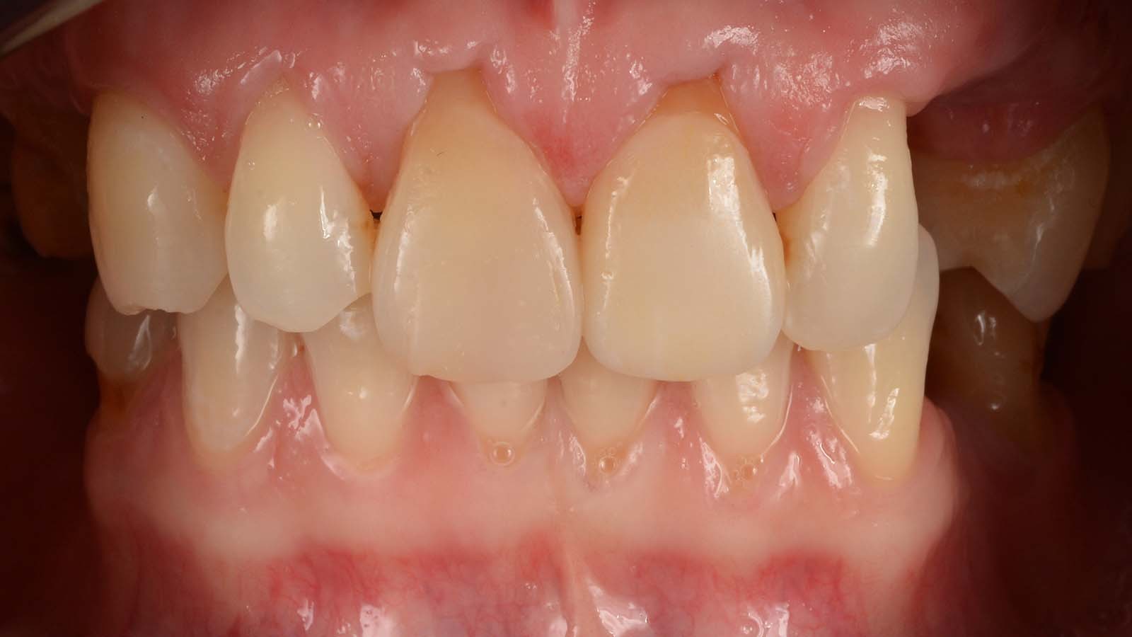
Aesthetic reconstruction of crowded teeth in the upper and lower front with Venus Pearl LIGHT & Venus Color (Dr Henrik Hjelte).

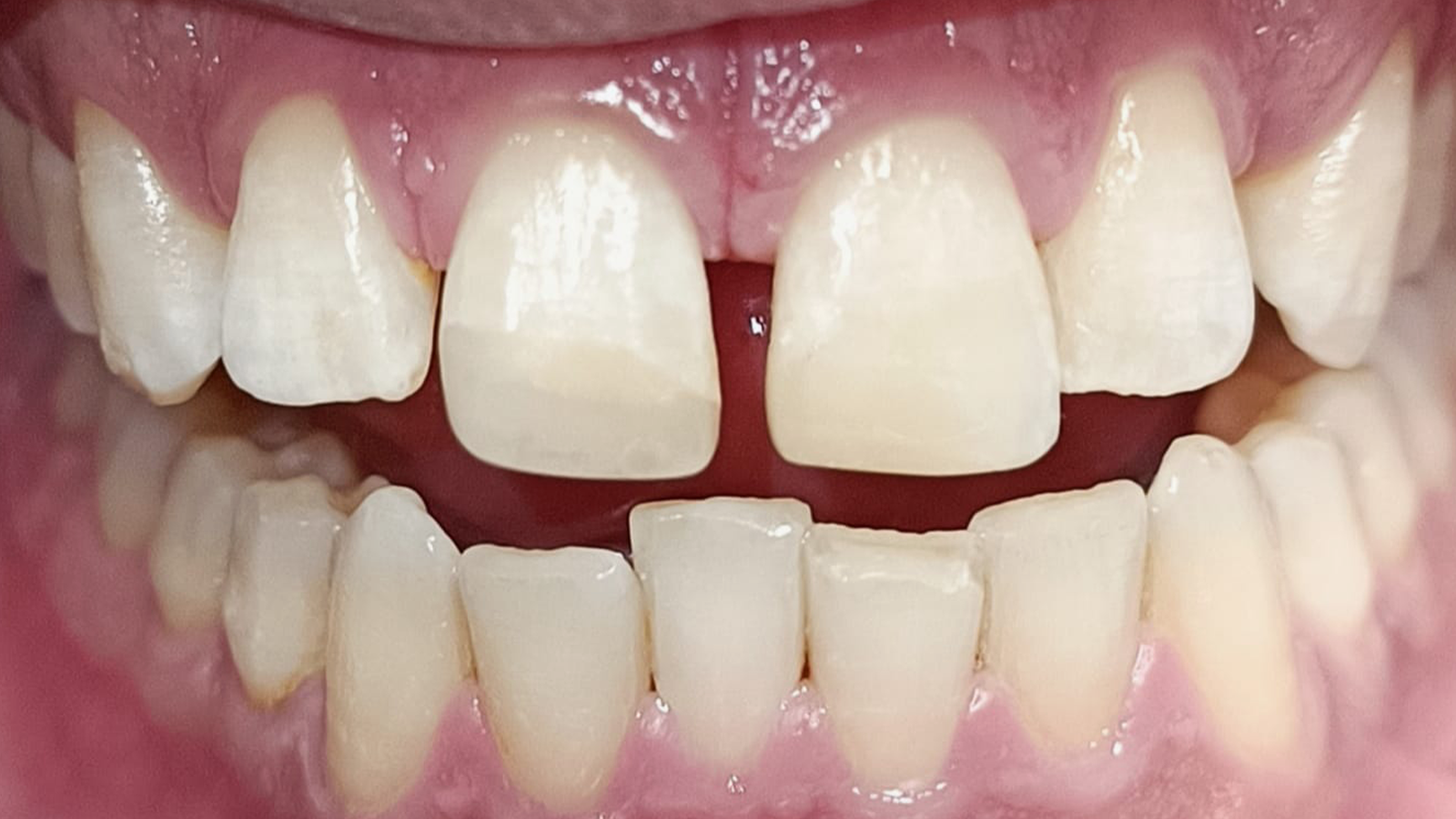
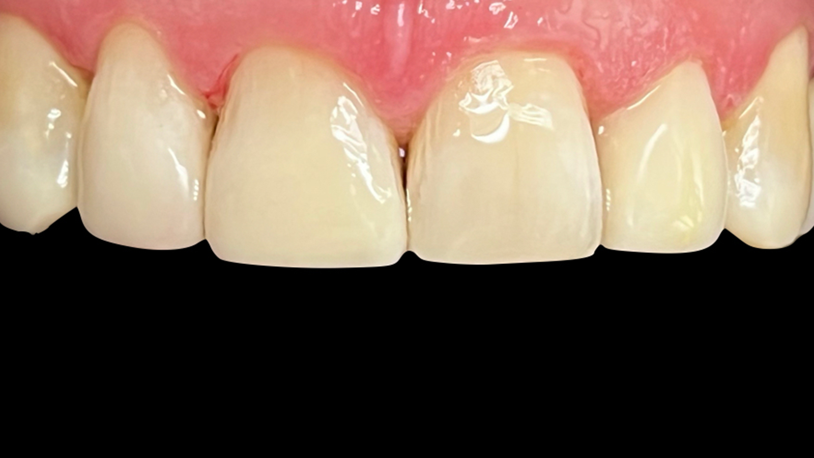
Before
After

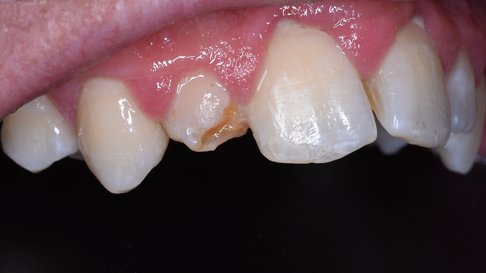
Cervical reconstruction in the upper front with Venus Pearl LIGHT (Dr Henrik Hjelte).

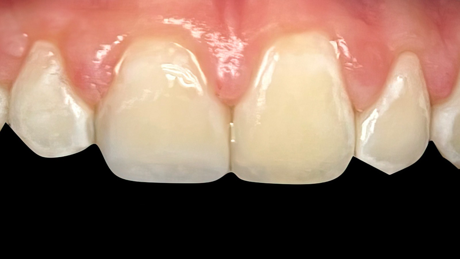
Before
After

Aesthetic monochromatic reconstruction of teeth 11, 21 and 22 with Venus Pearl LIGHT (Dr Henrik Hjelte).

Before
After

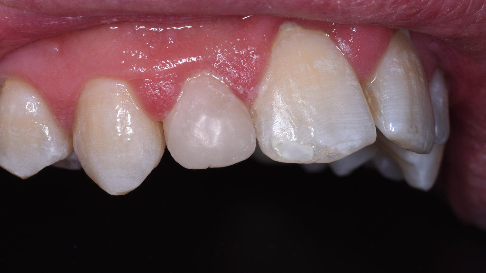
Class IV restoration at tooth 21 with Venus Pearl MEDIUM following a dental accident (Dr Patrik Bargiel, Sweden).

Before
After

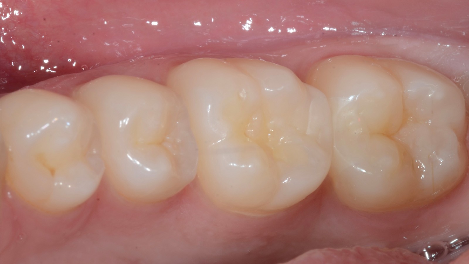
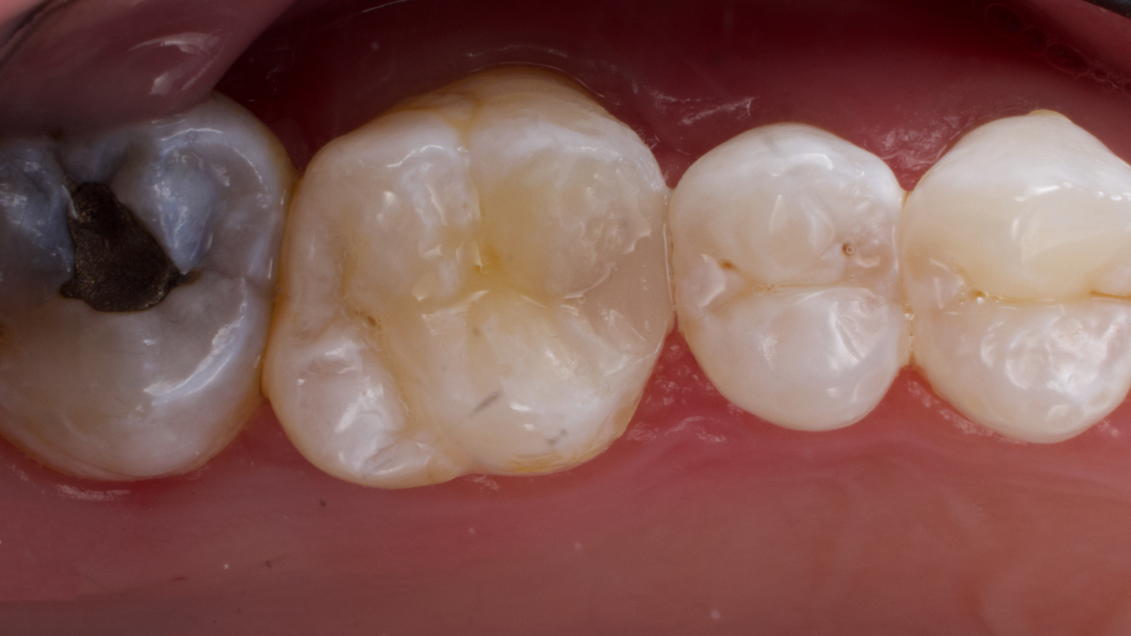
Restoration of carious lesion at tooth 36 with Venus Bulk Flow ONE & Venus Pearl LIGHT (Dr Patrik Bargiel, Sweden).

Before
After

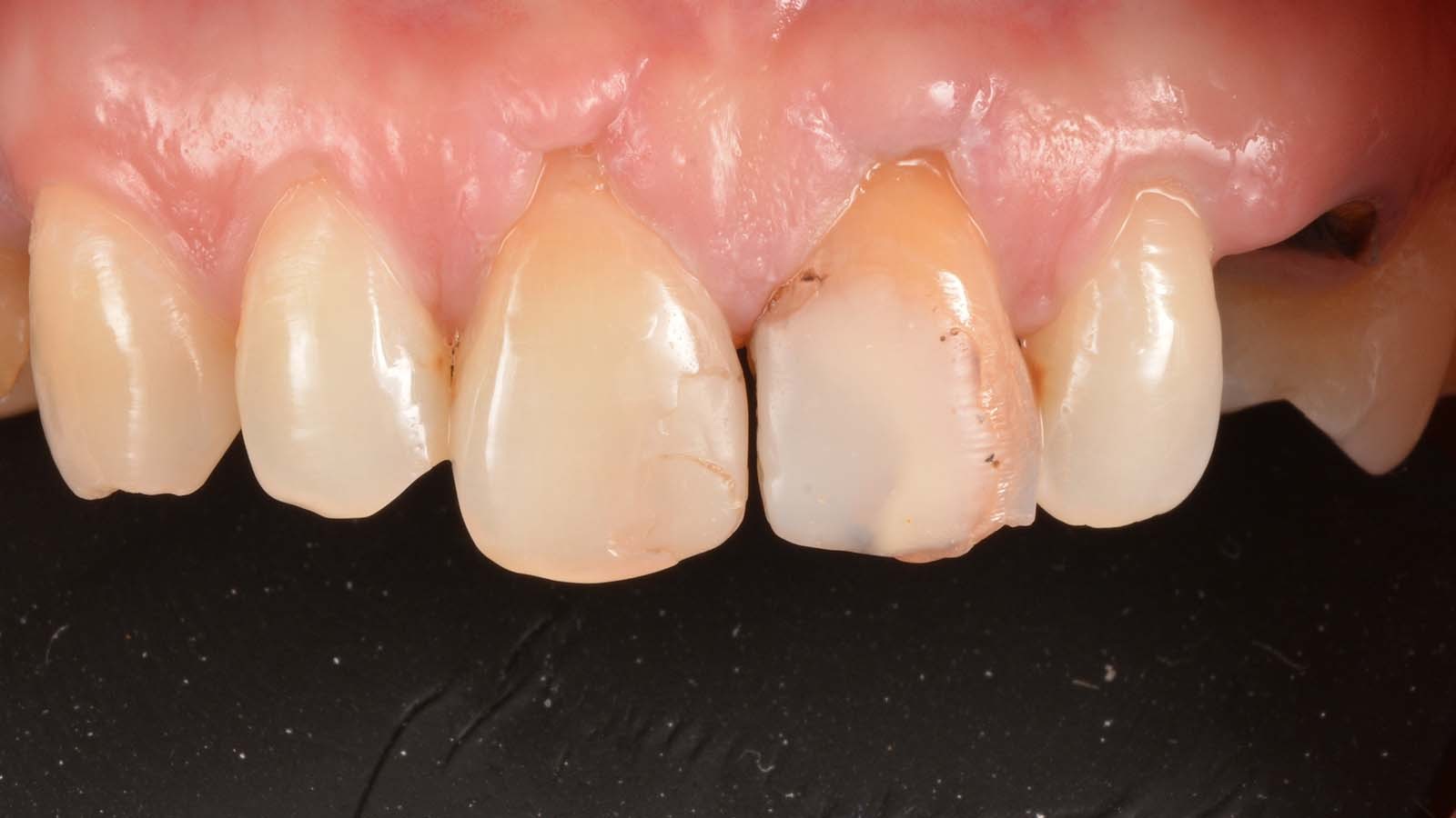
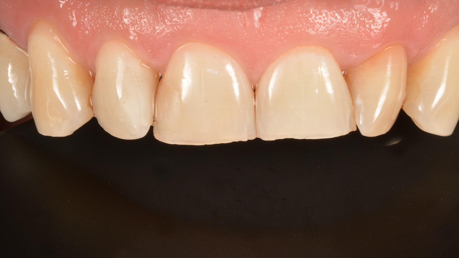
Replacement of the old composite filling on the upper left central incisor with Ivory Rubber Dam, iBOND Universal, Venus Pearl LIGHT & Venus Supra (Dr Laura Mokhtari).

Before
After

Class IV restoration at tooth 11 after fracture and cosmetic correction at tooth 12 with Ivory Rubber Dam, iBOND Universal, Venus Pearl LIGHT & Venus Supra (Dr Dimple Desai, USA).

Before
After

Direct veneering of teeth 12 to 22​ with Venus Pearl MEDIUM (Dr Dimple Desai; USA).

Before
After

Direct restoration of teeth 11 and 21 after incisal edge fractures in monochromatic layering with Venus Pearl MEDIUM (Dr Alvaro Gusmara, Italy).

Before
After

Diastema closure at teeth 12 mesial and 22 mesial after orthodontic treatment with Venus Pearl LIGHT & Venus Supra (Dr Janine Schweppe, Germany).

Before
After

Direct restoration of fractured tooth 12 in monochromatic layering with Venus Diamond DARK (Dr Álvarez Rodríguez, Spain).

Before
After

Restoration of two central incisors (teeth 11 and 21) using Venus Pearl MEDIUM composite in monochromatic layering (Dr Riccardo Baratto, Italy).

Before
After

Correct anatomical and aesthetical reconstruction of tooth 12 with Venus Diamond MEDIUM (Dr Gianluca D'Oria, Italy).

before
After

Class IV restoration at tooth 31 ​with Venus Pearl MEDIUM (Dr Barelli Corbo, Federico, Italy).

Befor
After

Class IV restoration at tooth 21 with Venus Pearl MEDIUM (Dr Pianticella Corinne, Italy).

Before
After

Replacement of insufficient restorations and anatomical correction in the anterior (13 to 23) ​with Venus Diamond LIGHT (Dr Álvarez Rodríguez, Spain).

Before
After

Direct repair of fractured 10-year-old composite veneer at tooth 21​ ​with Venus Diamond DARK (Dr Álvarez Rodríguez, Spain).

Before
After

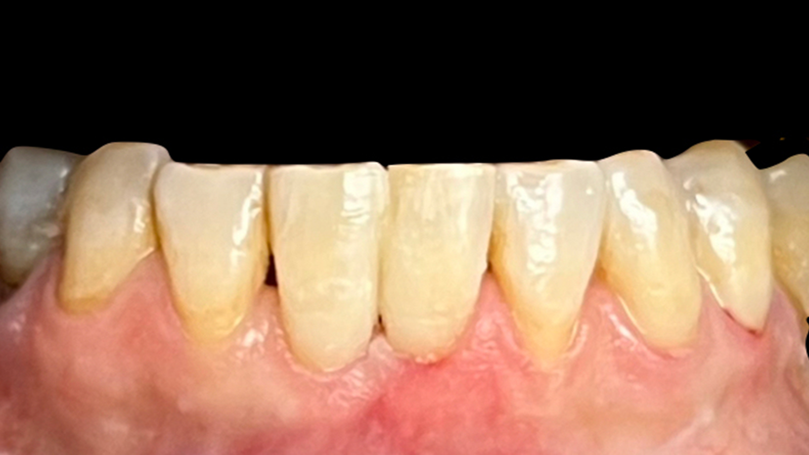
Reconstruction of tooth abrasion in the lower anterior region with Venus Pearl MEDIUM (Dr Francesco Lerda, Italy).

Before
After

Replacement of an insufficient amalgam restoration with Venus Pearl LIGHT (Dr Siddarth Gupta, UK).

Before
After

Replacement of an insufficient restoration at tooth 11 (tooth 21 was restored with a lithium disilicate crown) with Venus Pearl LIGHT (Dr Vincenzo Vitale, Italy).

Before
After

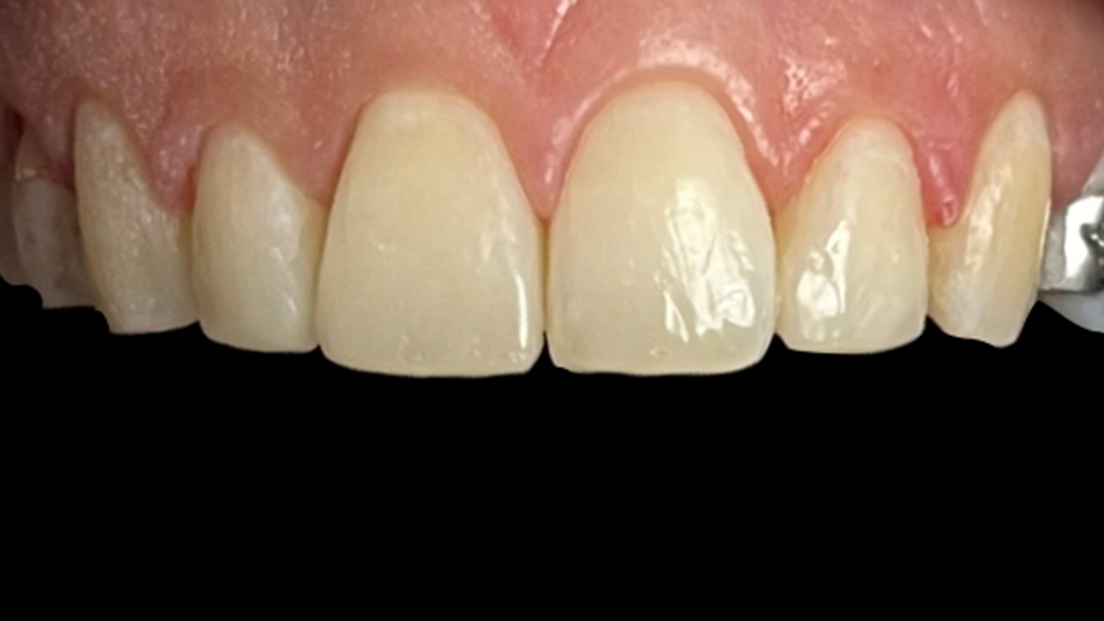
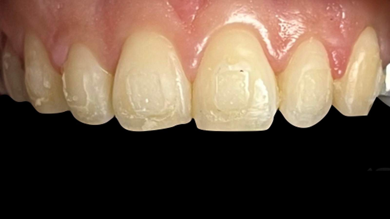
Aesthetic reconstruction of anterior teeth with Venus Pearl LIGHT (Dr Alicia Serra, Spain).

Before
After

Direct gap closure in the lower front with Venus Pearl MEDIUM (Dr Alicia Serra, Spain).

Before
After

Aesthetic reconcstruction of the upper front teeth with Venus Pearl MEDIUM (Dr Alicia Serra, Spain).

Before
After

Aesthetic reconstruction of fractured teeth 11 and 21 with Venus Pearl BLEACH (Dr Alícia Serra, Spain).

Before
After

Replacement of insufficient old filling on first molar with Venus Pearl LIGHT (Dr Siddarth Gupta, UK).

Before
After

Replacement of insufficient amalgam restoration with secondary caries in second premolar with Venus Pearl LIGHT (Dr Siddarth Gupta, UK).

Before
After

Direct morphological restoration of the upper anterior teeth​ with Venus Pearl LIGHT (Dr Alessandro Conti, Italy).

Before
After

Replacement of an old discoloured filling at the lateral incisor with Venus Pearl LIGHT (Dr Vincenzo Vitale, Italy).

Before
After

Replacement of an insufficient restoration at tooth 11 (tooth 21 was restored with a lithium disilicate crown)​ with Venus Pearl LIGHT (Dr Vincenzo Vitale, Italy).

Before
After

Aesthetic reconstruction of anterior teeth with Venus Pearl LIGHT (Dr. Alicia Serra from Spain).

Before
After

Reconstruction of carious lesions teeth 36 and 37 with Venus Pearl LIGHT (Dr. Filippo Del Curto, Italy).

Before
After

Restoration of occlusal caries lesion in second molar with Venus Pearl LIGHT (Dr Daniel Çaga, UK).

Before
After

Restoration of strongly damaged anterior teeth with Venus Pearl MEDIUM (Dr Fraser Tait, UK).

Before
After

Aesthetic improvement of anterior teeth in elderly patient within a remarkably short time with Venus Pearl DARK (Dr Lucy Flanaghan, UK).

Before
After

Aesthetic reconstruction of fractured teeth 11 and 21 with Venus Pearl BLEACH (Dr Alícia Serra, Spain).

Good to know

Watch the webinar recording with StyleItaliano

The Pure code: achieving aesthetic excellence with just 4 shades.

You have missed the webinar with Dr Jordi Manauta? No problem!

Watch the webinar recording
Venus Pearl Pure Shades

Venus Pure

How does more simplicity in your everyday restorations look like?

DISCOVER THE BENEFITS OF THE NEW VENUS PURE
Be part of the Venus Community

Would you also like to be part of the Venus community?

Submit your case