31.10.2024
| Quote on the use of Venus Pearl Pure Shades: |
| An even, symmetric and much nicer smile. Patient is very happy. Accomplished with a single shade of composite. |
| CLINICAL CASE |
Initial situation: Aesthetic reconstruction of crowded teeth in the upper and lower front desired.
Digital mock-up of the upper teeth.
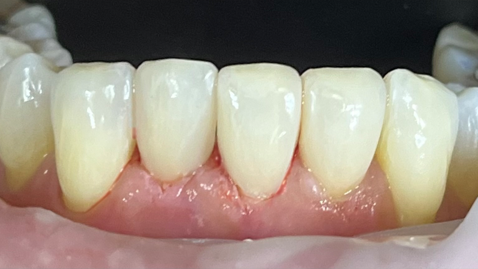
Lower front after aligning.
Situation after aligning and bleaching.
Tooth by tooth reconstruction with composite.
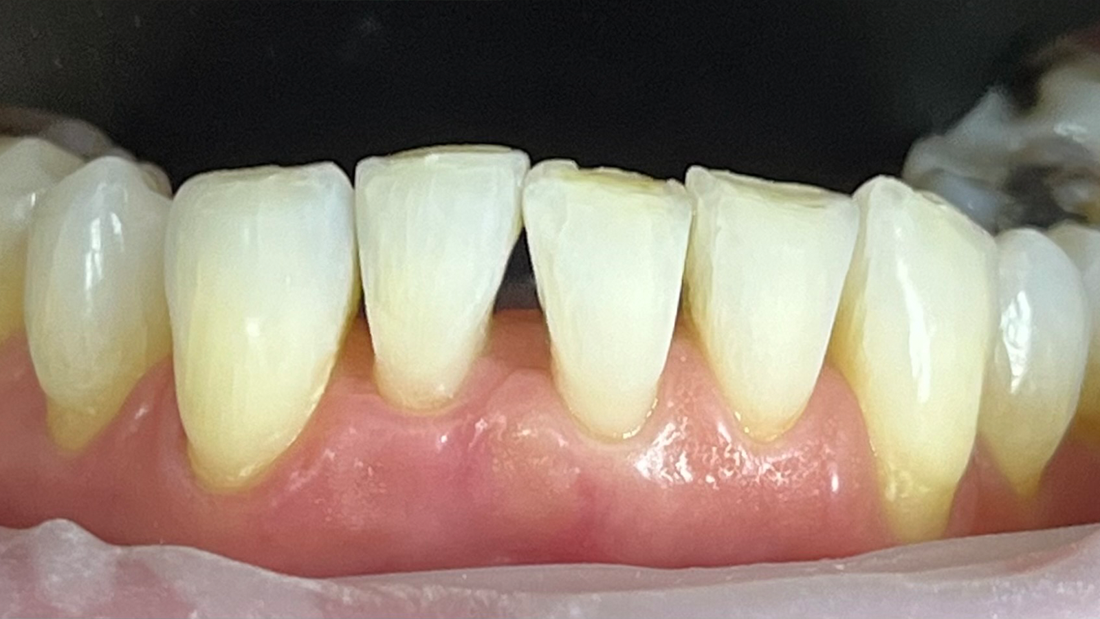
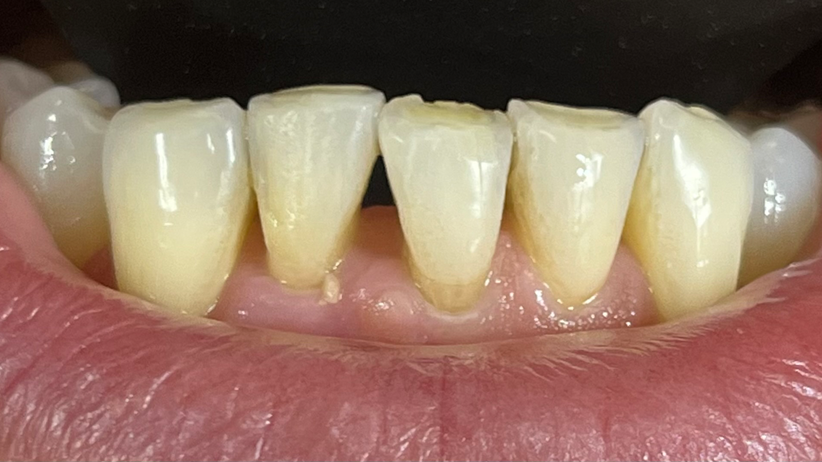
Final result of the lower front.
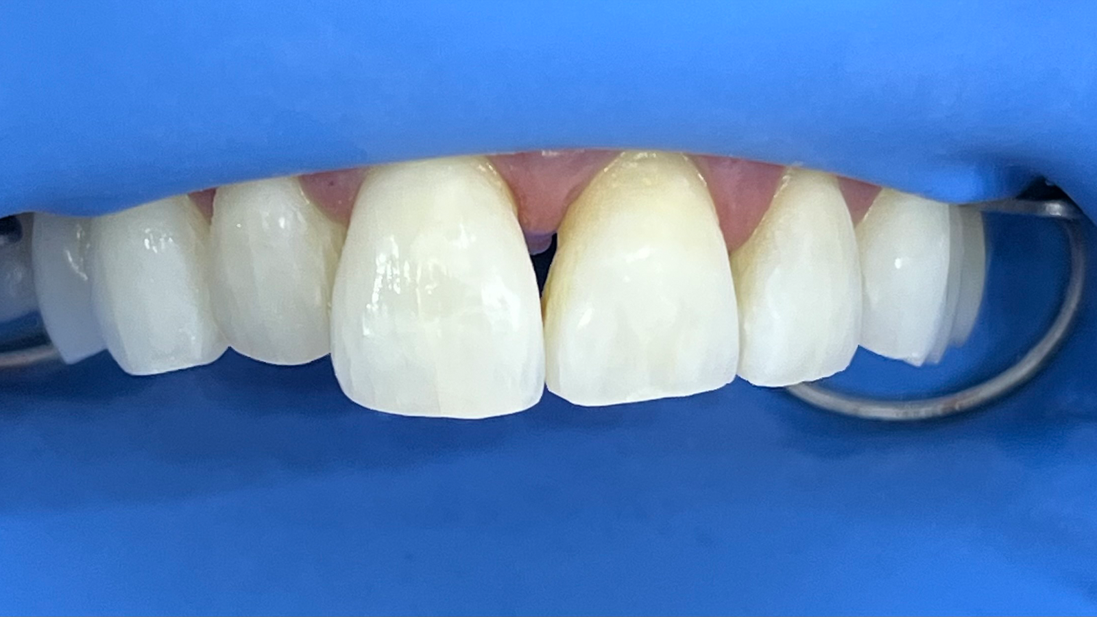
Rubber dam isolation of the upper front.
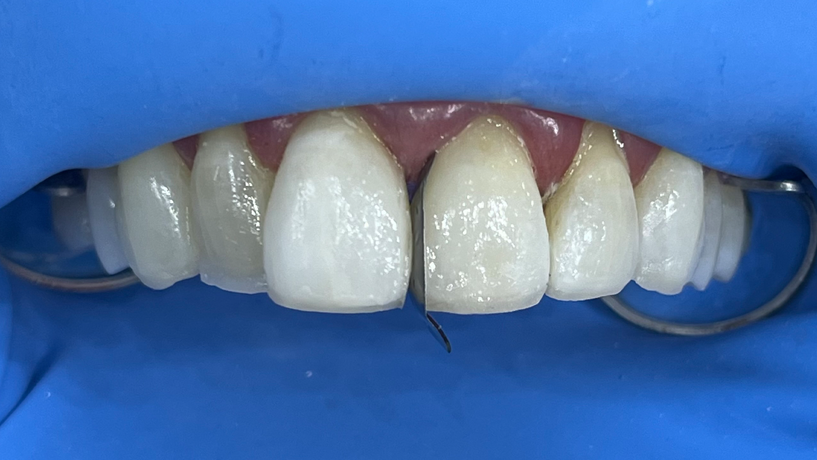
Tooth by tooth reconstruction.
Final result: Aesthetic reconstruction in the upper and lower front after pre-treatment with aligning and bleaching.
Used products
Discover the Kulzer products featured in this case and follow the links for more information:
Instructions for use:
Please also refer to the relevant Instructions for Use (IFU) when using the medical devices: Go to IFU portal