Select your country and find all the information in your language.

Case of the month

One more fascinating case with the new Venus Diamond Flow Pure Shades

Look at this restoration of cervical lesions in the lower jaw by Dr Christoph Lichtblau.

Before
After

Restoration of cervical lesions in the lower jaw​ with Venus Diamond Flow DARK​ (Dr Christoph Lichtblau).

Cases with Venus Pure
Cases with Venus Pure Shades
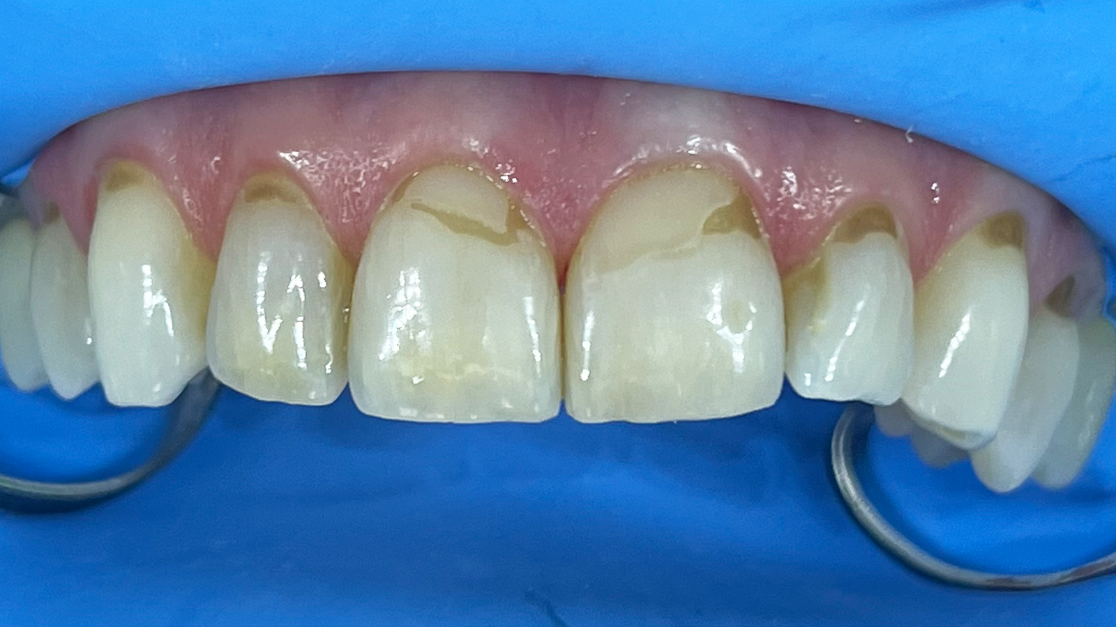
Before
After

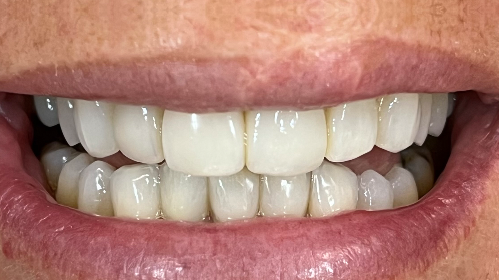
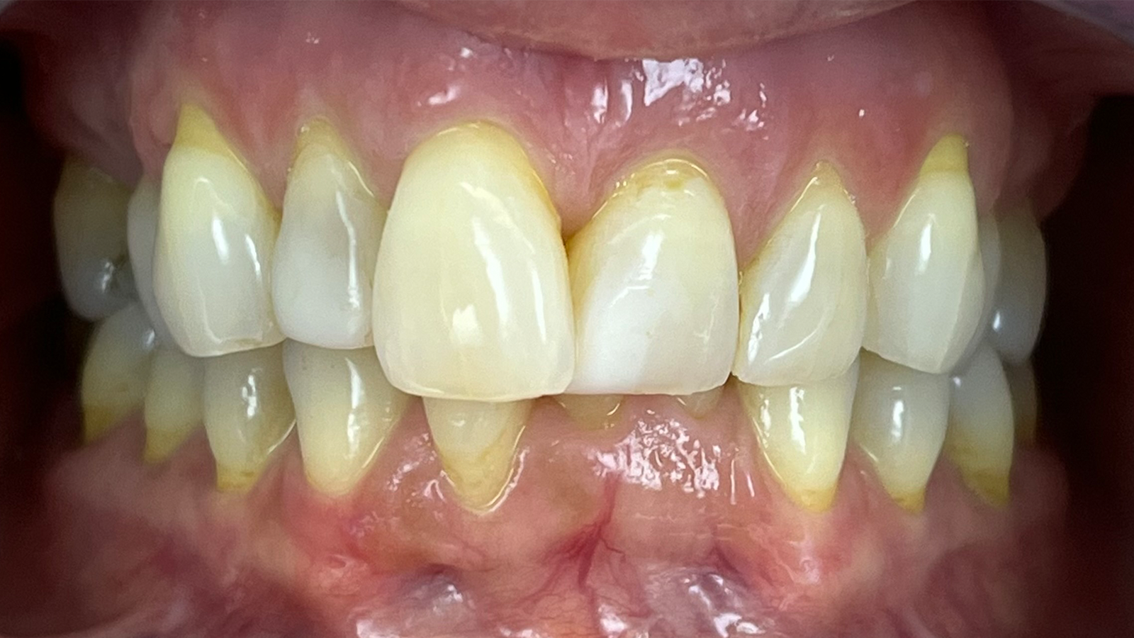
Reconstruction of teeth 15 to 22 in monochromatic layering with Venus Pearl DARK - except tooth 12 where Venus Diamond OMC was used to cover dark areas - and Venus Supra (Dr Vegard Berg).

Before
After

Closure of medial diastema in the lower jaw with Venus Pearl LIGHT & Venus Diamond Flow LIGHT​ (Dr Edoardo Fossati).

Before
After

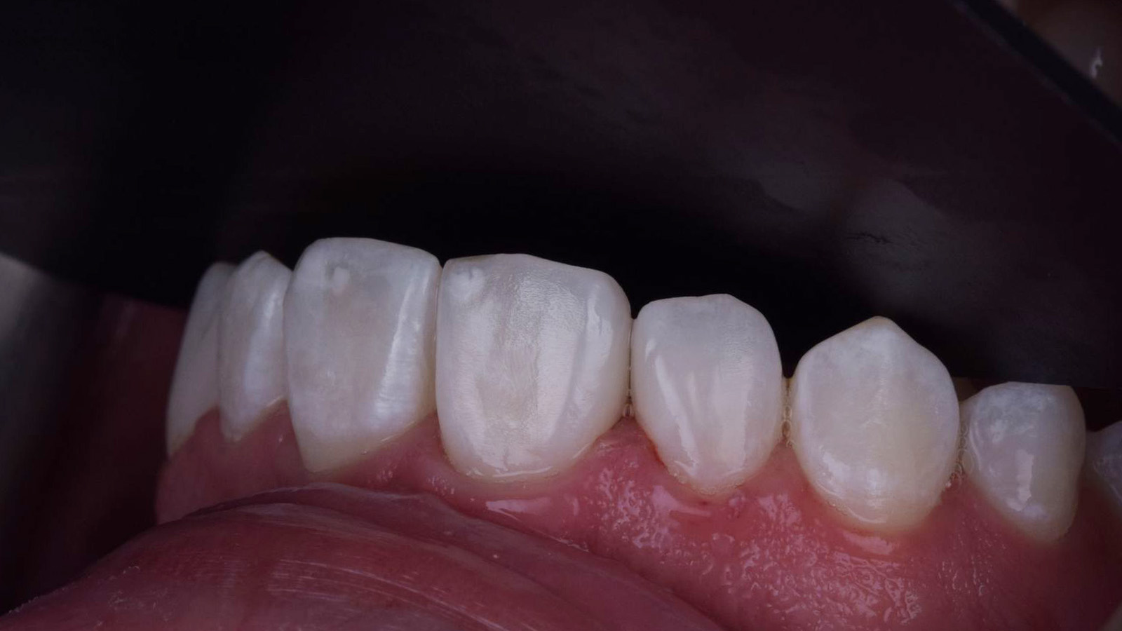
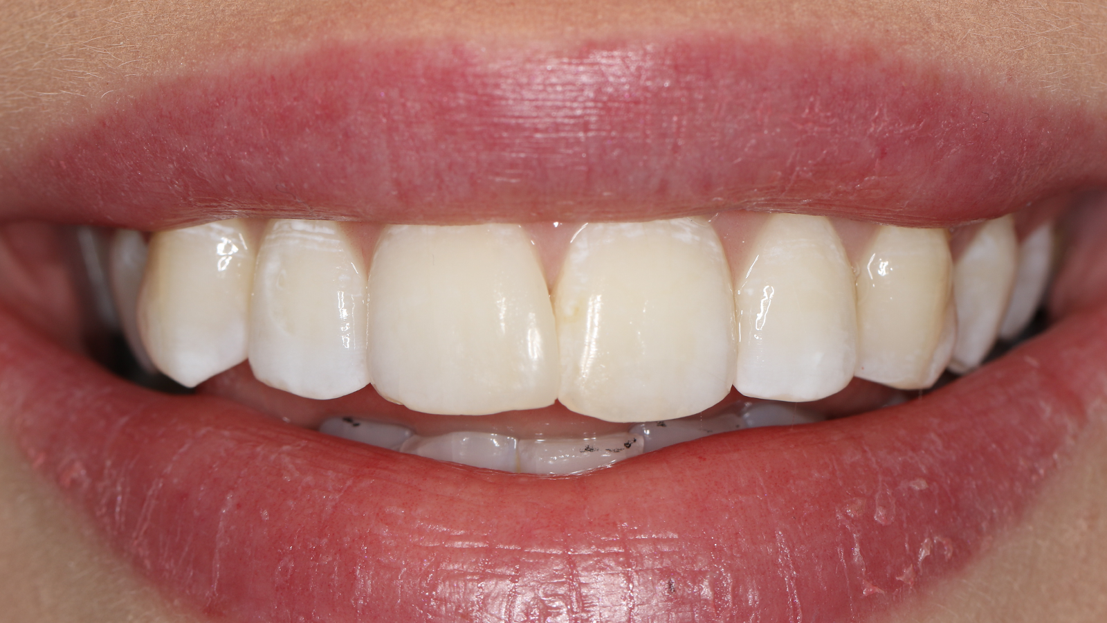
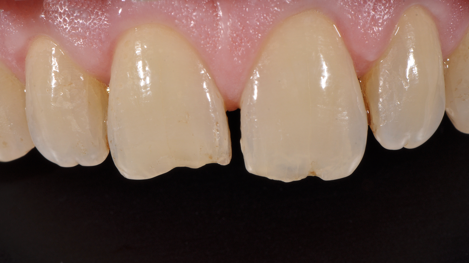
Reshaping of tooth 12 using Venus Diamond Flow Pure LIGHT in monochromatic layering​ (Dr Mahmoud Ibrahim).

Before
After

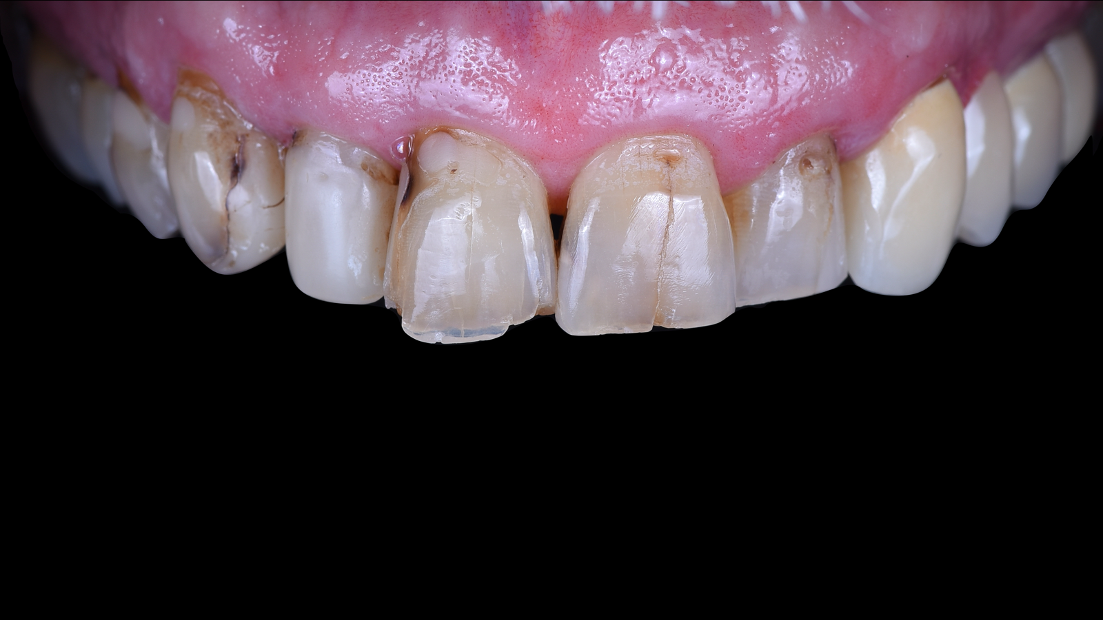
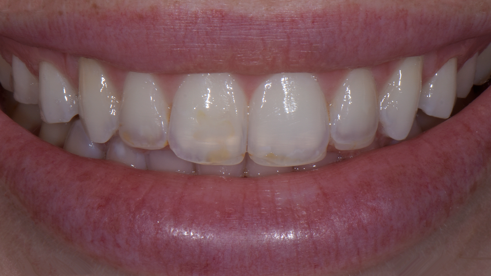
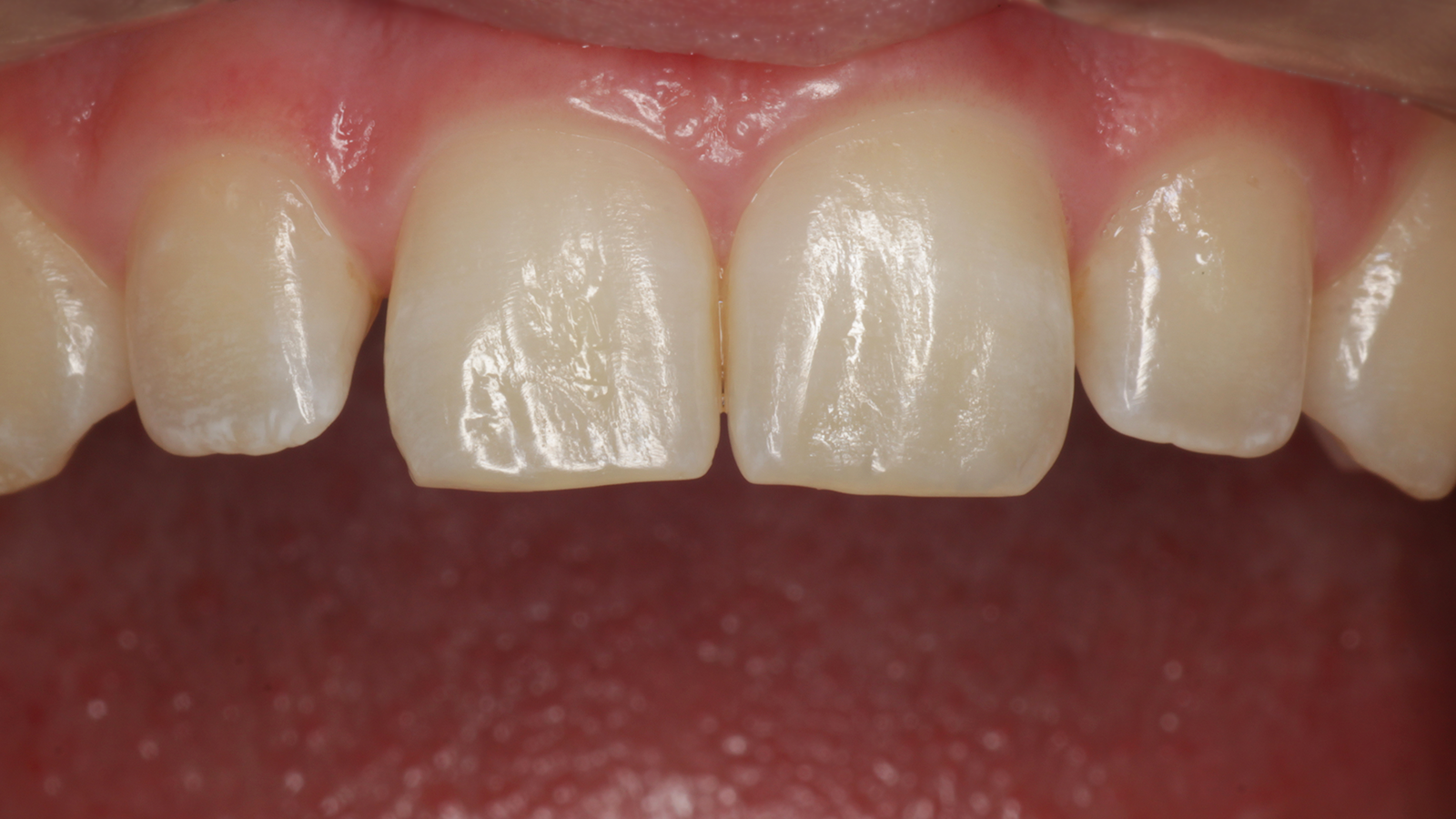
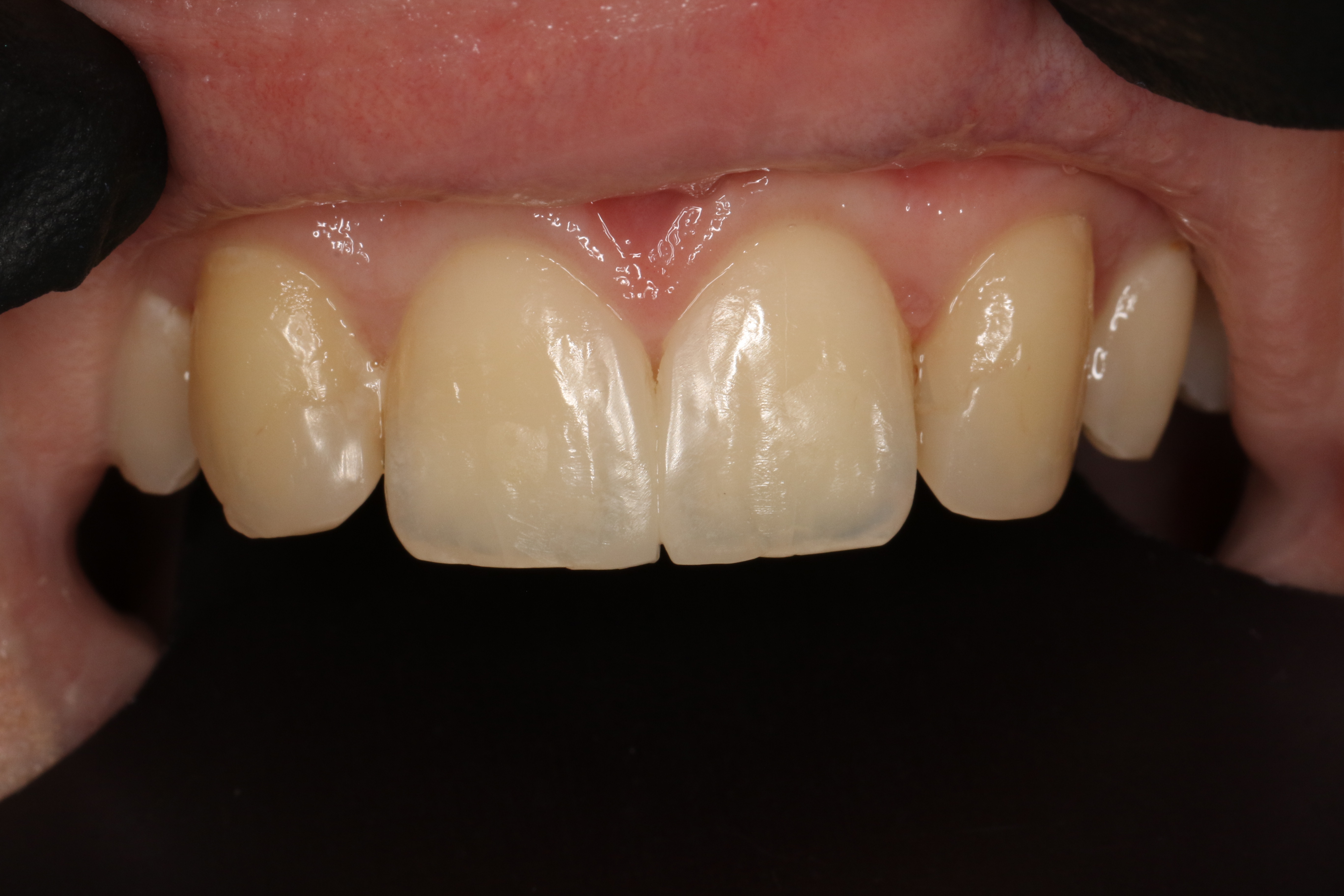
Restoration of cervical lesions in the upper jaw​ with ​Venus Diamond Flow DARK (Dr Mahmoud Ibrahim).

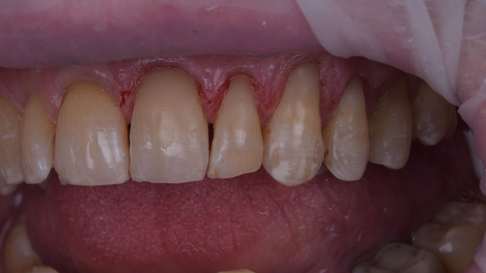
Before
After

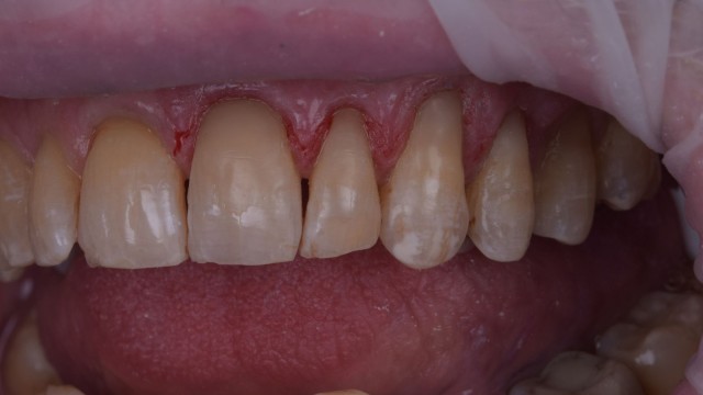
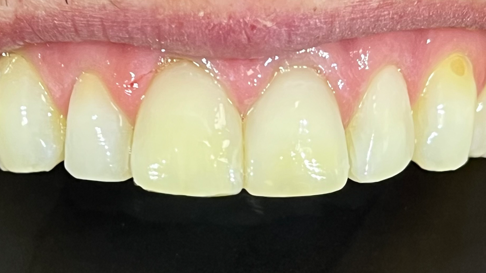
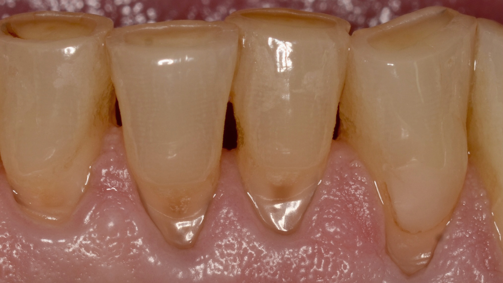
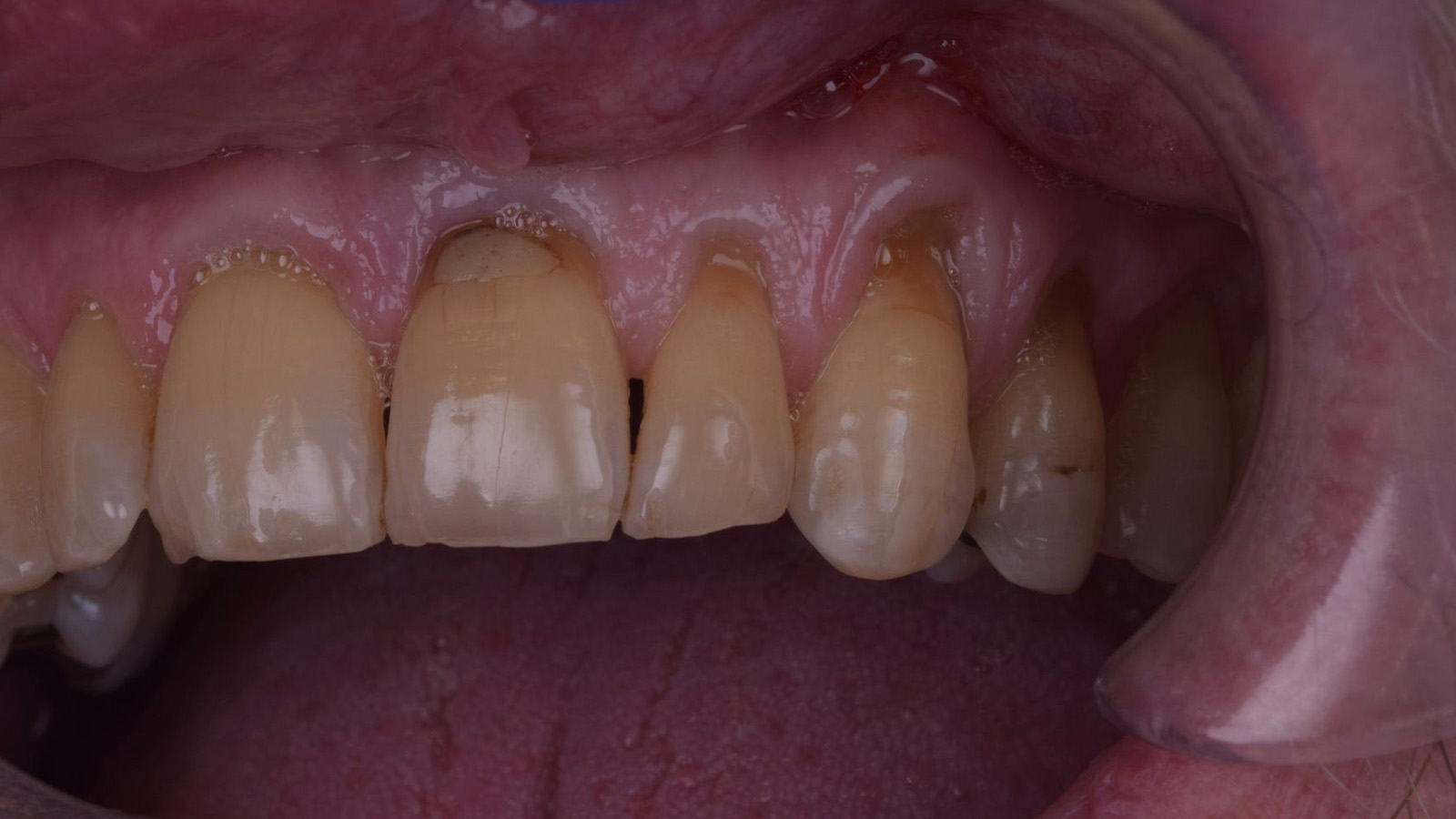
Restoration of cervical lesions in the lower jaw​ with Venus Diamond Flow DARK​ (Dr Christoph Lichtblau).

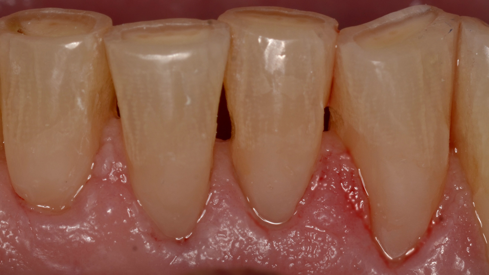
Before
After

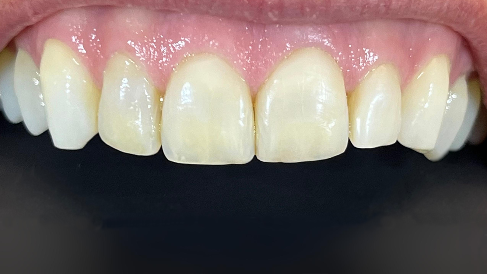
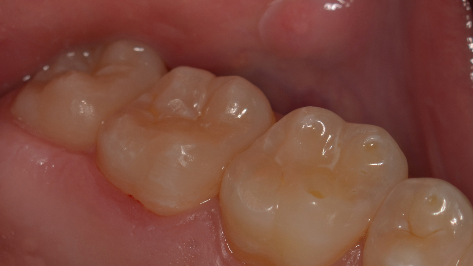
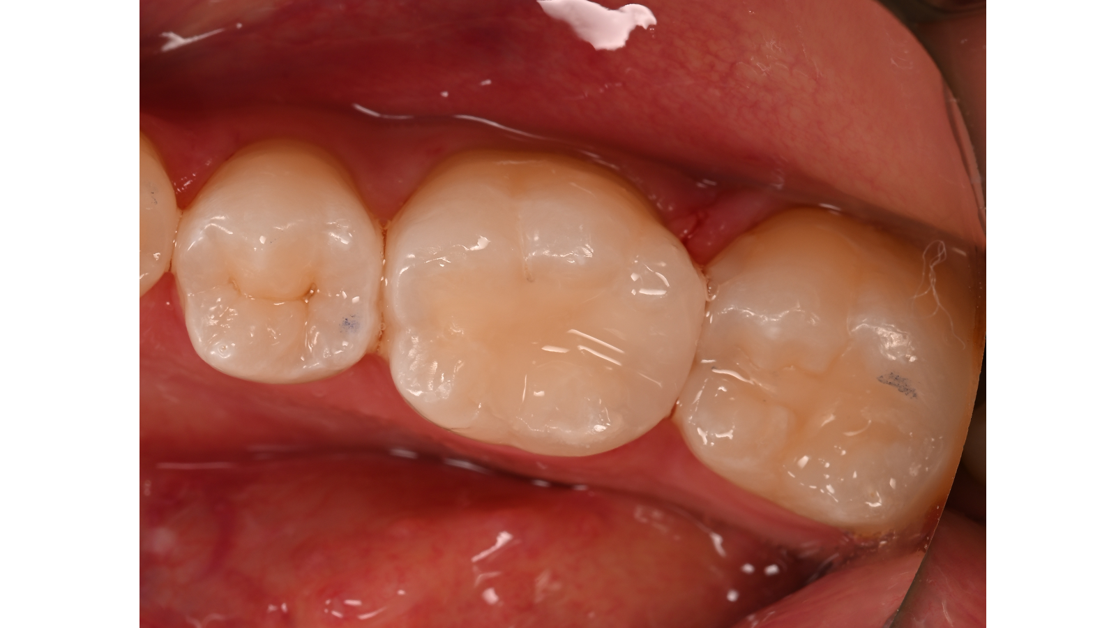
Reconstruction of carious lesion in upper molar​​ with Venus Diamond Flow MEDIUM & iBOND Universal (Dr Christoph Lichtblau).

Before
After

Monochromatic diastema closure fulfilling the patients‘ wish for a fast and reliable solution​ with Venus Pearl LIGHT (Dr Jukka Paakkanen).

Before
After

Quick monochromatic solution at chipped upper central incisors with Venus Pearl MEDIUM​ (Dr Jukka Paakkanen).

Before
After

Monochromatic correction of minor chip on tooth 11 with Venus Pearl LIGHT (Dr Jukka Paakkanen).

Before
After

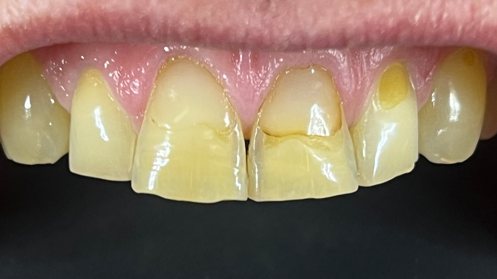
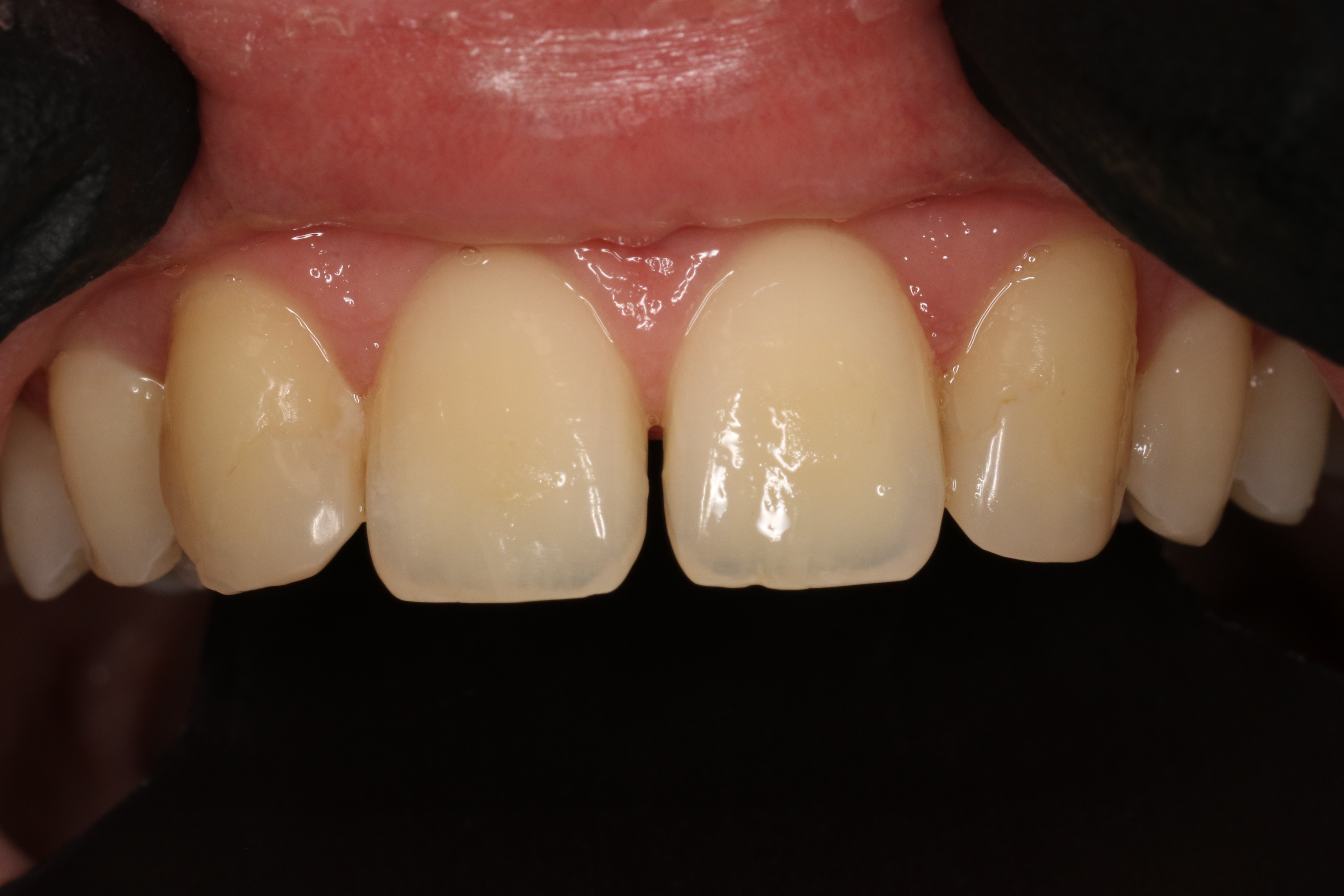
Minimal invasive monochromatic aesthetic reconstruction of the upper incisors with Venus Pearl BLEACH (Dr Azadeh Balalaie).

Before
After

Aesthetic reconstruction of crowded teeth in the upper and lower front with Venus Pearl LIGHT & Venus Color (Dr Henrik Hjelte).

Before
After

Cervical reconstruction in the upper front with Venus Pearl LIGHT (Dr Henrik Hjelte).

Before
After

Aesthetic monochromatic reconstruction of teeth 11, 21 and 22 with Venus Pearl LIGHT (Dr Henrik Hjelte).

Before
After

Replacement of the old composite filling on the upper left central incisor with Ivory Rubber Dam, iBOND Universal, Venus Pearl LIGHT & Venus Supra (Dr Laura Mokhtari).

Before
After

Class IV restoration at tooth 11 after fracture and cosmetic correction at tooth 12 with Ivory Rubber Dam, iBOND Universal, Venus Pearl LIGHT & Venus Supra (Dr Dimple Desai).

Before
After

Direct veneering of teeth 12 to 22​ with Venus Pearl MEDIUM (Dr Dimple Desai).

Before
After

Direct restoration of teeth 11 and 21 after incisal edge fractures in monochromatic layering with Venus Pearl MEDIUM (Dr Alvaro Gusmara).

Before
After

Diastema closure at teeth 12 mesial and 22 mesial after orthodontic treatment with Venus Pearl LIGHT & Venus Supra (Dr Janine Schweppe).

Before
After

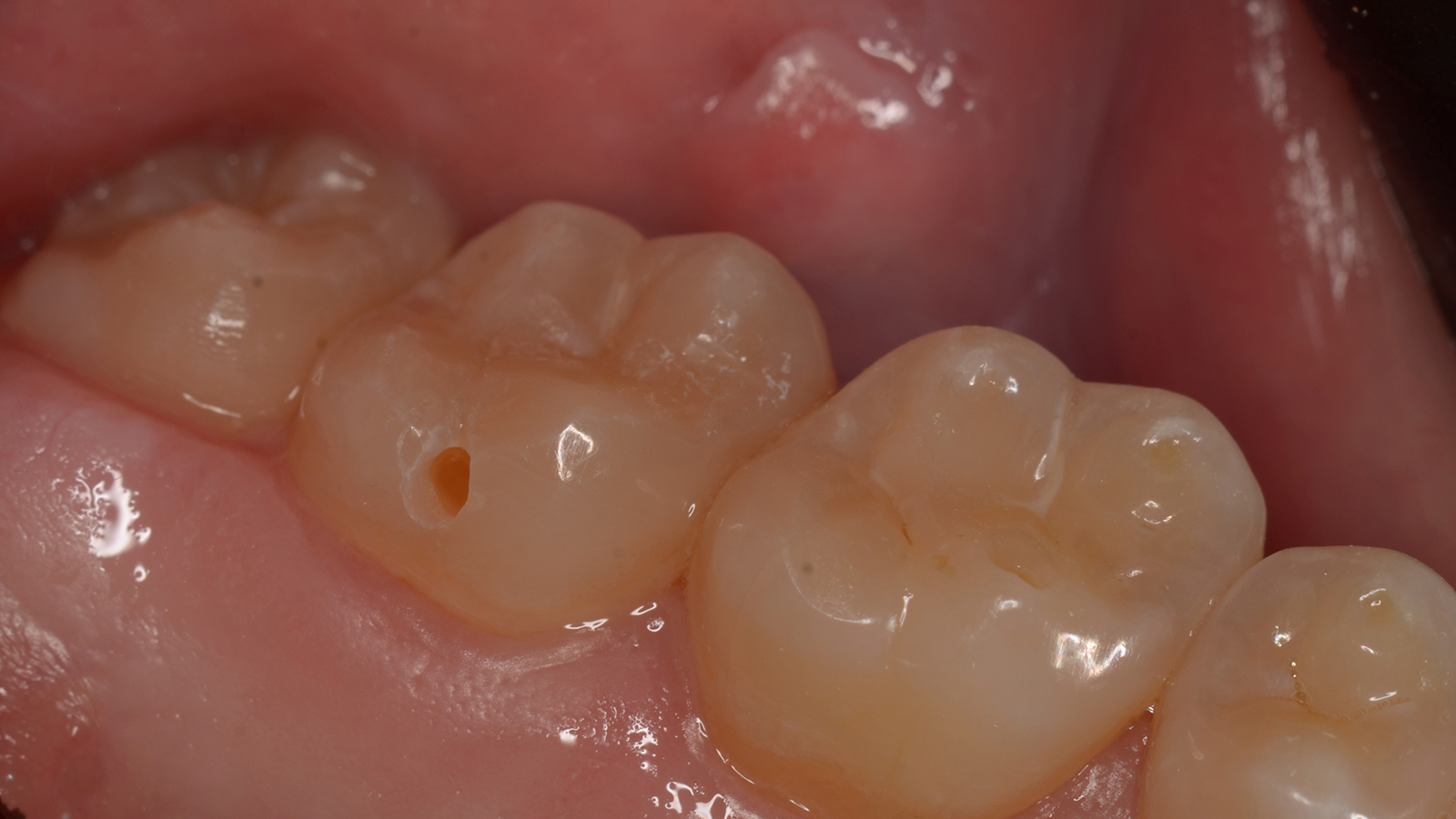
New composite restorations at teeth 14od and 15om with Venus Bulk Flow ONE & Venus Pearl MEDIUM (Dr Patrik Bargiel).

Before
After

Restoration of carious lesion at tooth 36 with Venus Bulk Flow ONE & Venus Pearl LIGHT (Dr Patrik Bargiel).

Before
After

Class IV restoration at tooth 21 with Venus Pearl MEDIUM following a dental accident (Dr Patrik Bargiel).

Cases with Venus Art Shades
Cases with Venus Art Shades
Before
After

Diastema closure (Venus Diamond B1 & Venus Pearl OLC): 4-year result after repolishing (Dr Mahmoud Ibrahim).

External resources

Source Date Article & author Link
Dentistry September 26, 2024 “Smooth, high gloss result for composite resin restorations” by
Dr Nadeem Younis (English)
Read full article
Dentistry April 16, 2024 “Simple restoration creates illusion of depth” by
Dr Elaine Mo (English)
Read full article
Dentistry June 13, 2025 “Anterior trauma with limited inter-occlusal space” by Dr Andrew Chandrapal Read full article