Giving a hand to oral health
Kulzer globes image
Countries
Contact
Countries
Contact

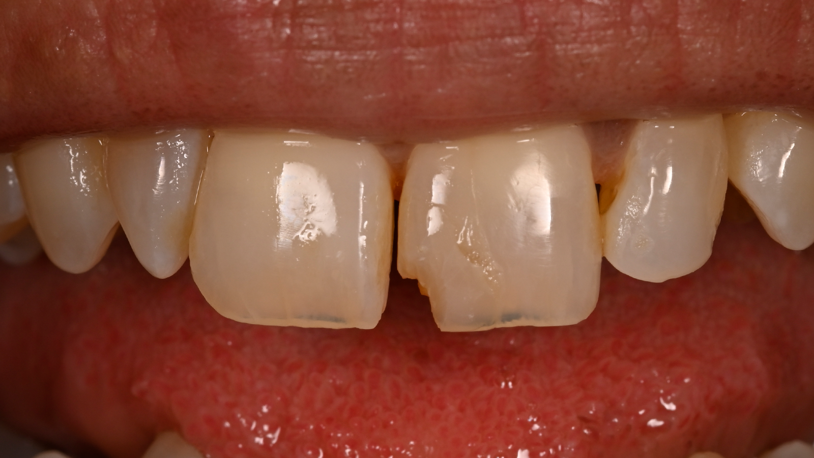
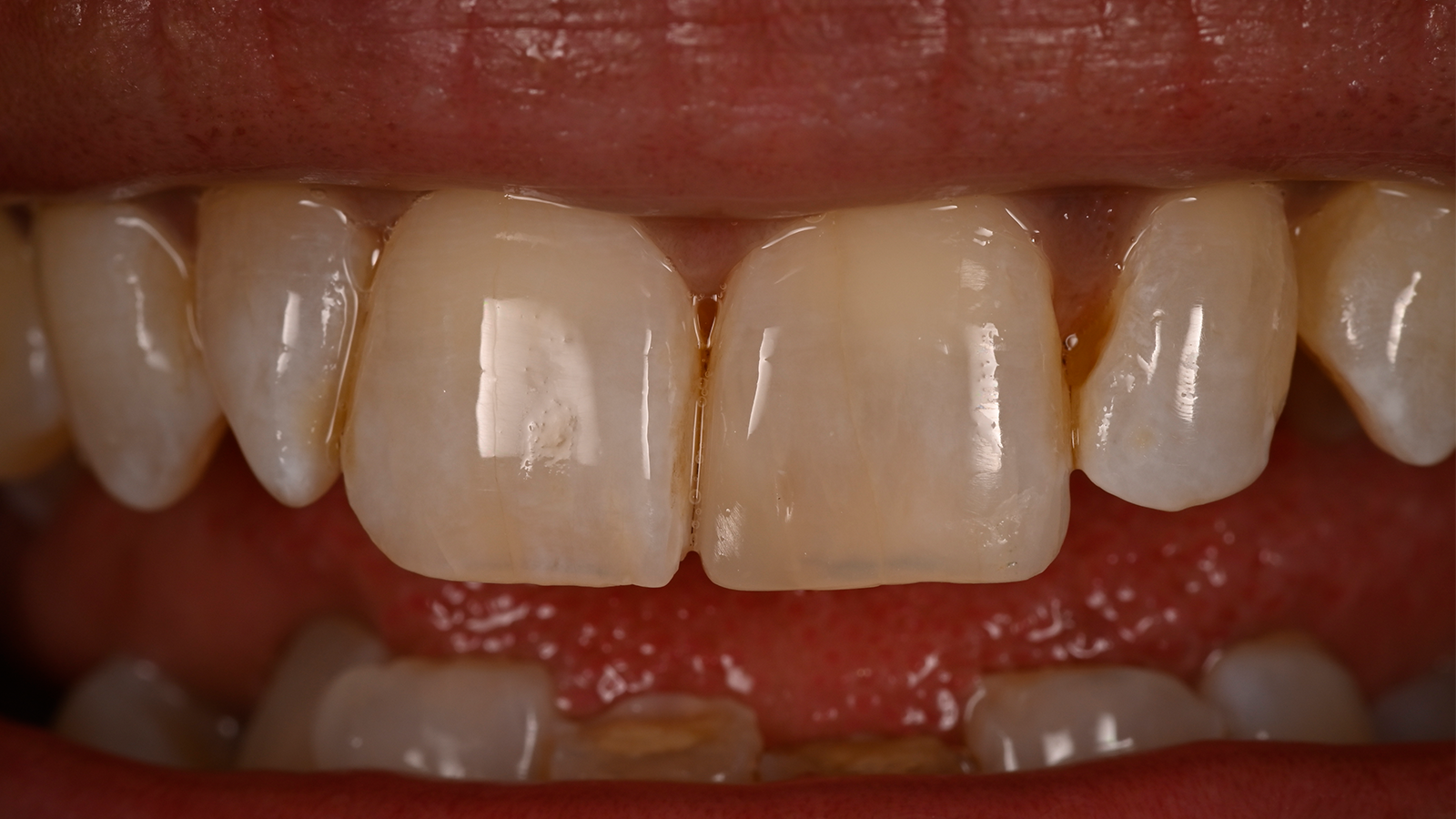
Used products

Related products

  • iBOND® Universal

    iBOND® Universal

    iBOND Universal is the universal, light-curing adhesive for any bonding technique and all indications. Being compatible with all dental materials, it is our all-rounder for reliable bond strength.

  • Ivory® Rubber Dams & Clamps

    Ivory® Rubber Dams & Clamps

    A complete range of rubber dams and clamps that help you create a clean, dry working field with ease. Designed for comfort and control, Ivory supports efficient isolation in restorative and endodontic procedures.

Be part of the Venus community

Discover even more cases and stories from your colleagues here!

Explore now