21.05.2024
| Quote on the use of Venus Pearl Pure Shades in monochromatic layering: |
| “The mouldability of Venus Pearl is really good. It does not stick to the spatula and adheres well to the cavity. The advantage of having fewer composite masses and the advantage of not having to layer different shades.” |
| CLINICAL CASE |
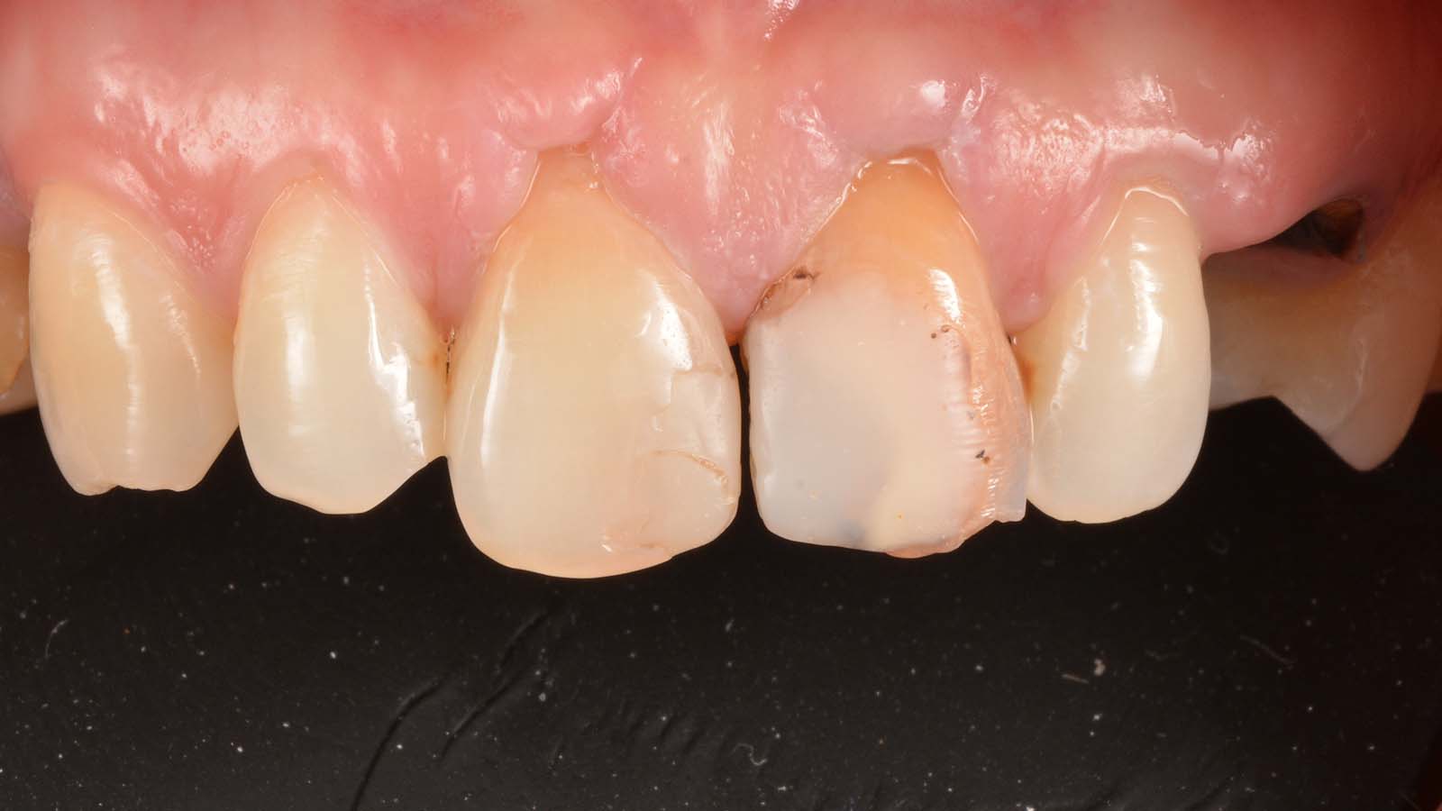
Insufficient composite restoration at tooth 11.
Prepared cavity at tooth 11 with silicone index.
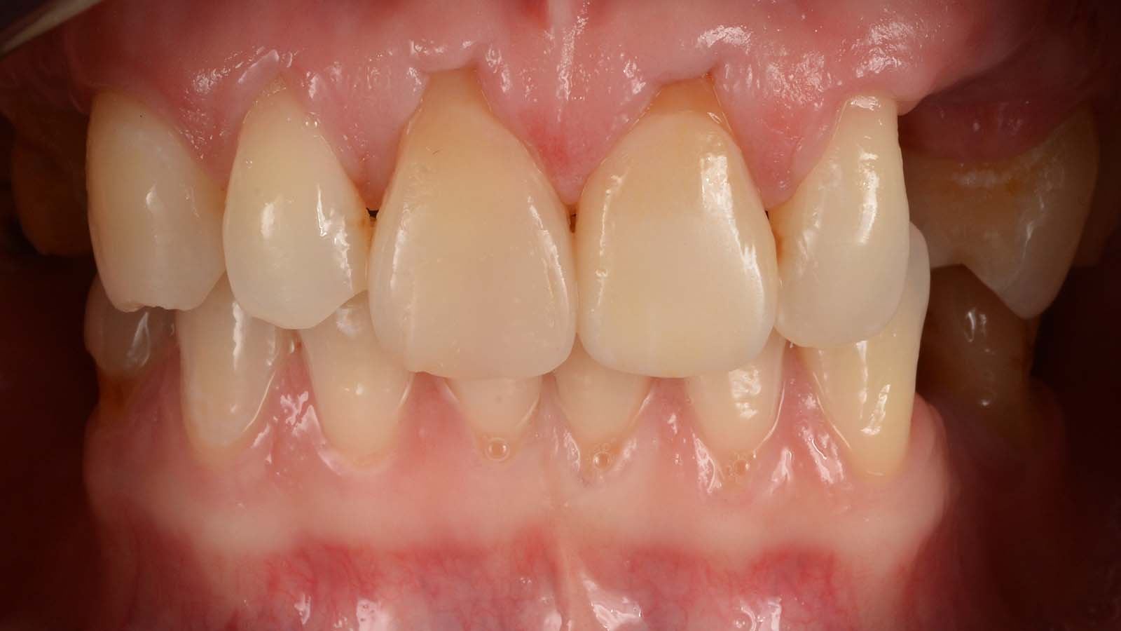
Final result with Venus Pearl LIGHT at tooth 11 in monochromatic layering (tooth 21 was restored with a lithium disilicate crown).
Used products
Discover the Kulzer products featured in this case and follow the links for more information:
Venus Pearl Pure Shades
Related products
Instructions for use:
Please also refer to the relevant Instructions for Use (IFU) when using the medical devices: Go to IFU portal