Giving a hand to oral health
Kulzer globes image
Countries
Contact
Countries
Contact
Be part of it
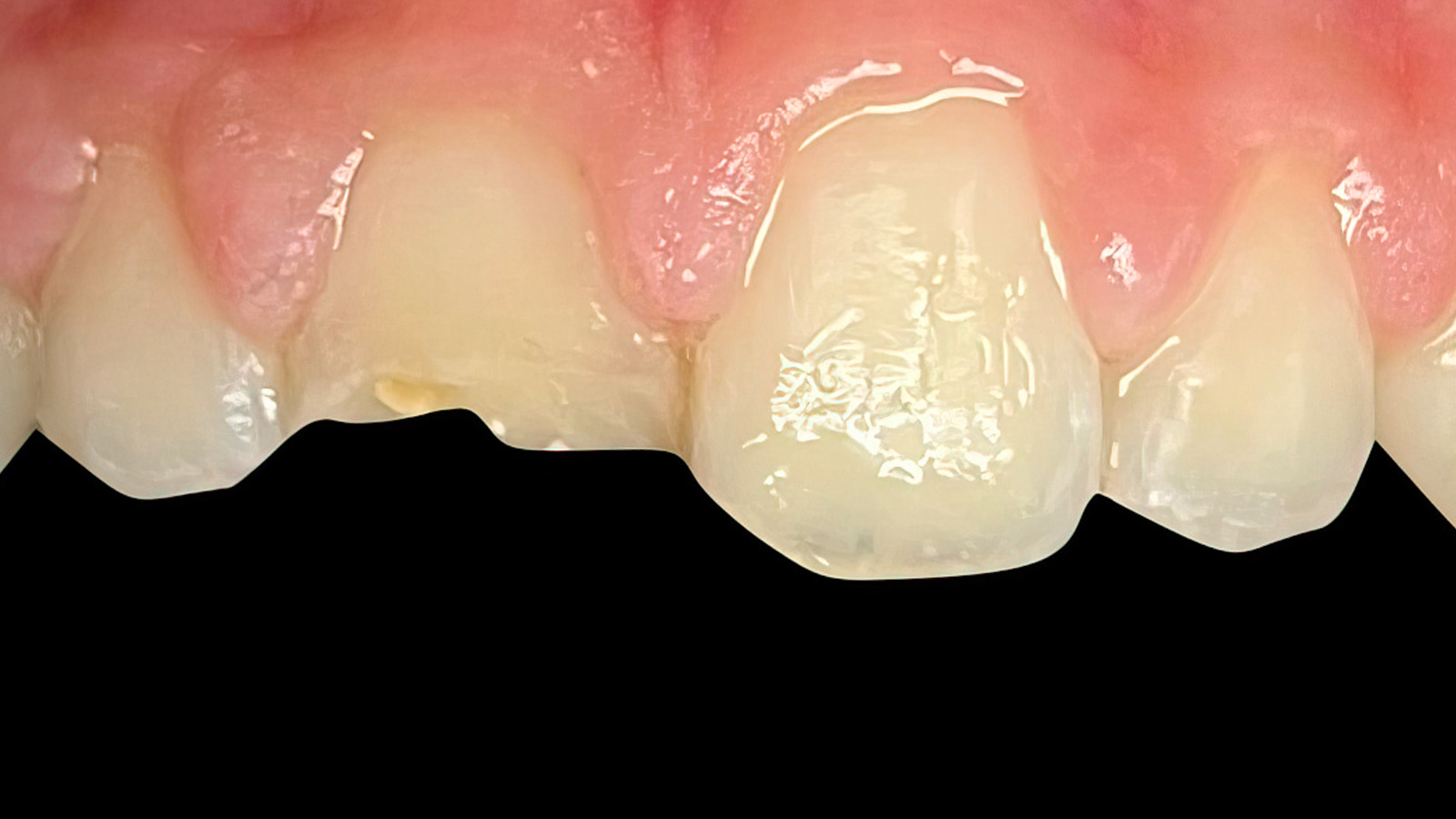
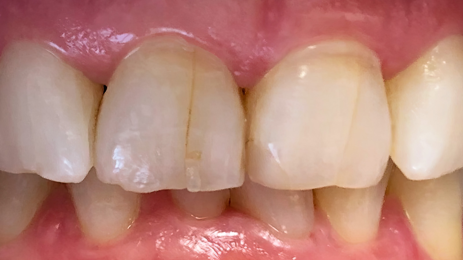
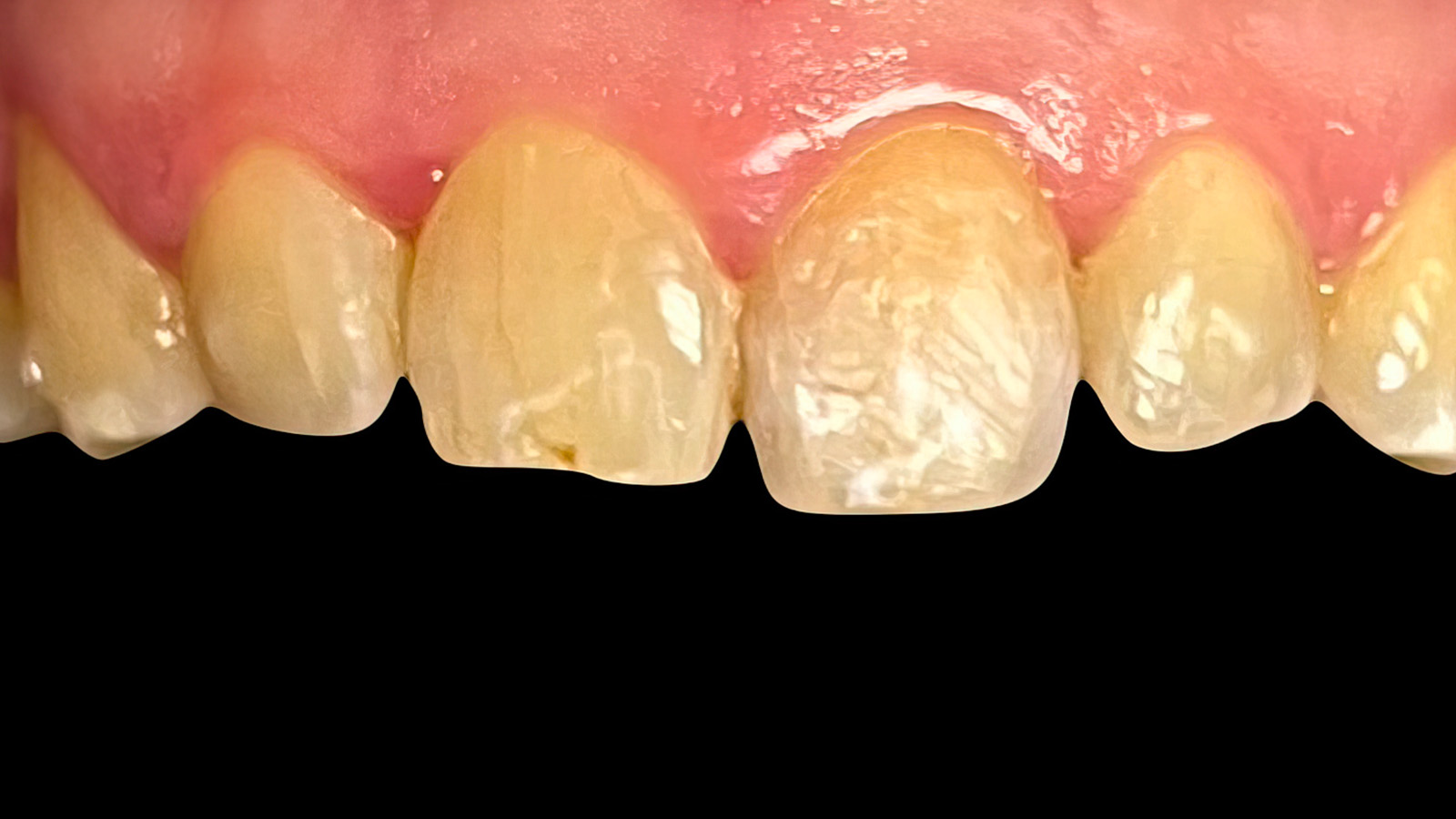
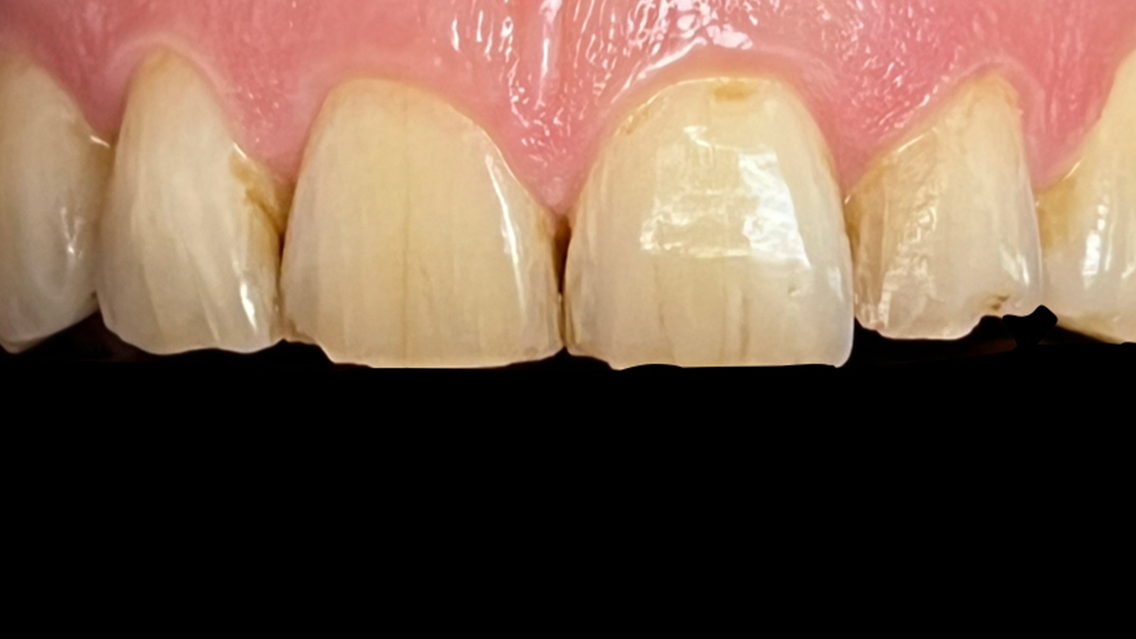
Before
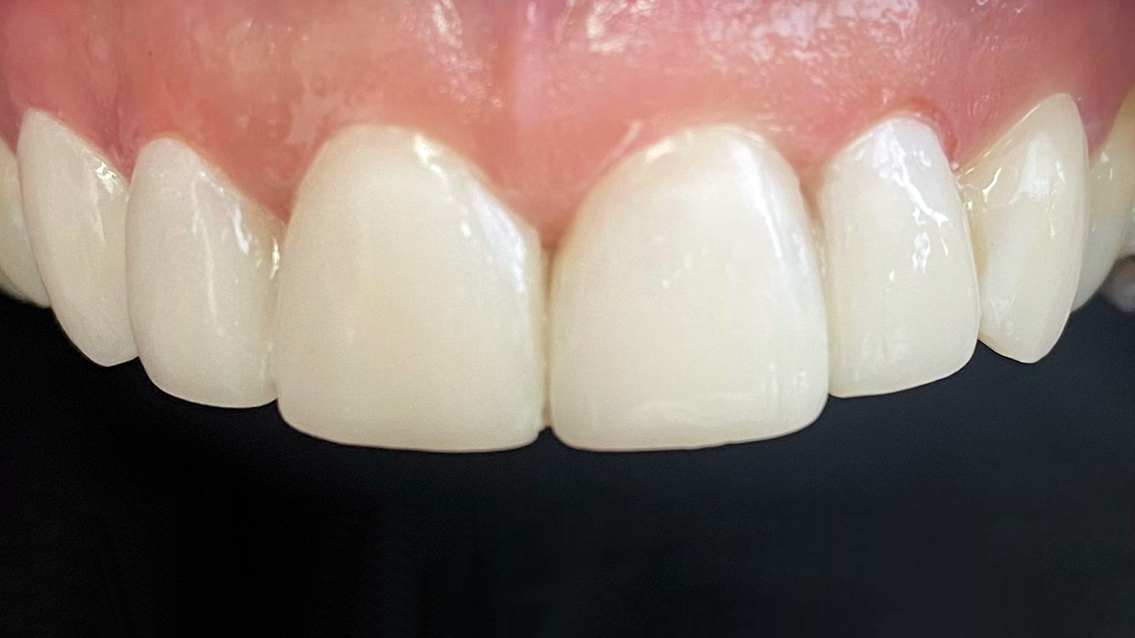
After

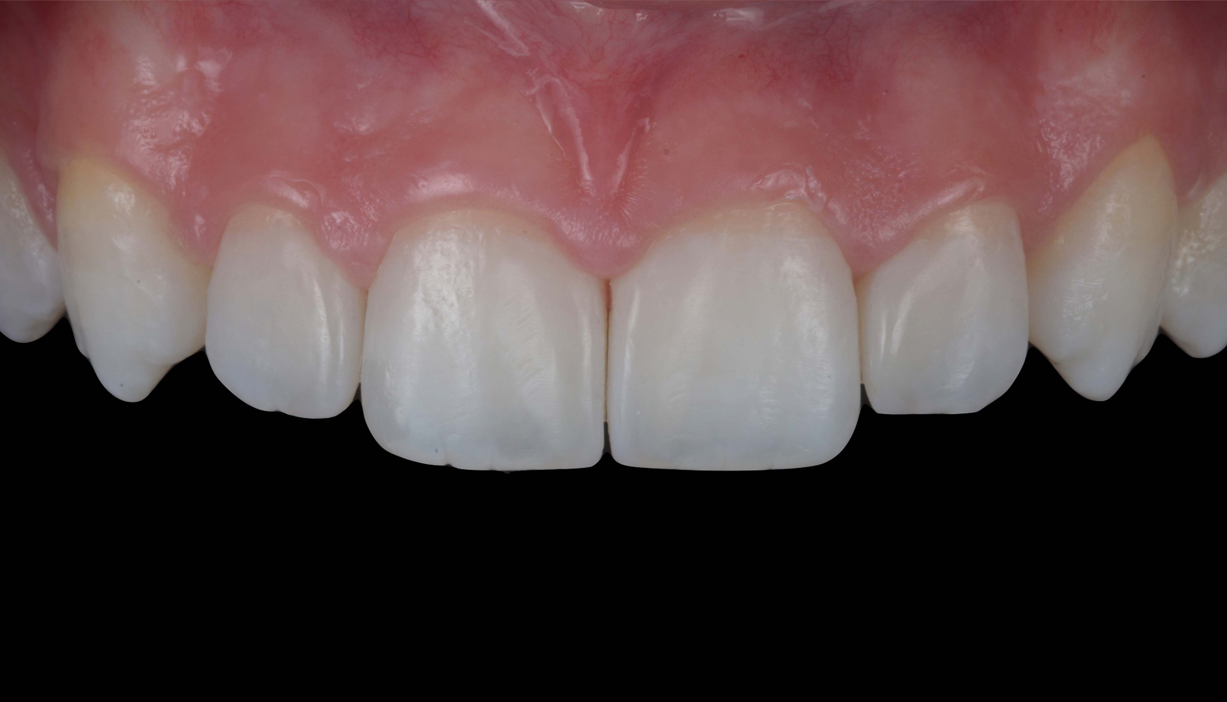
Restoration of two central incisors (teeth 11 and 21) using Venus Pearl MEDIUM composite in monochromatic layering (Dr Riccardo Baratto).

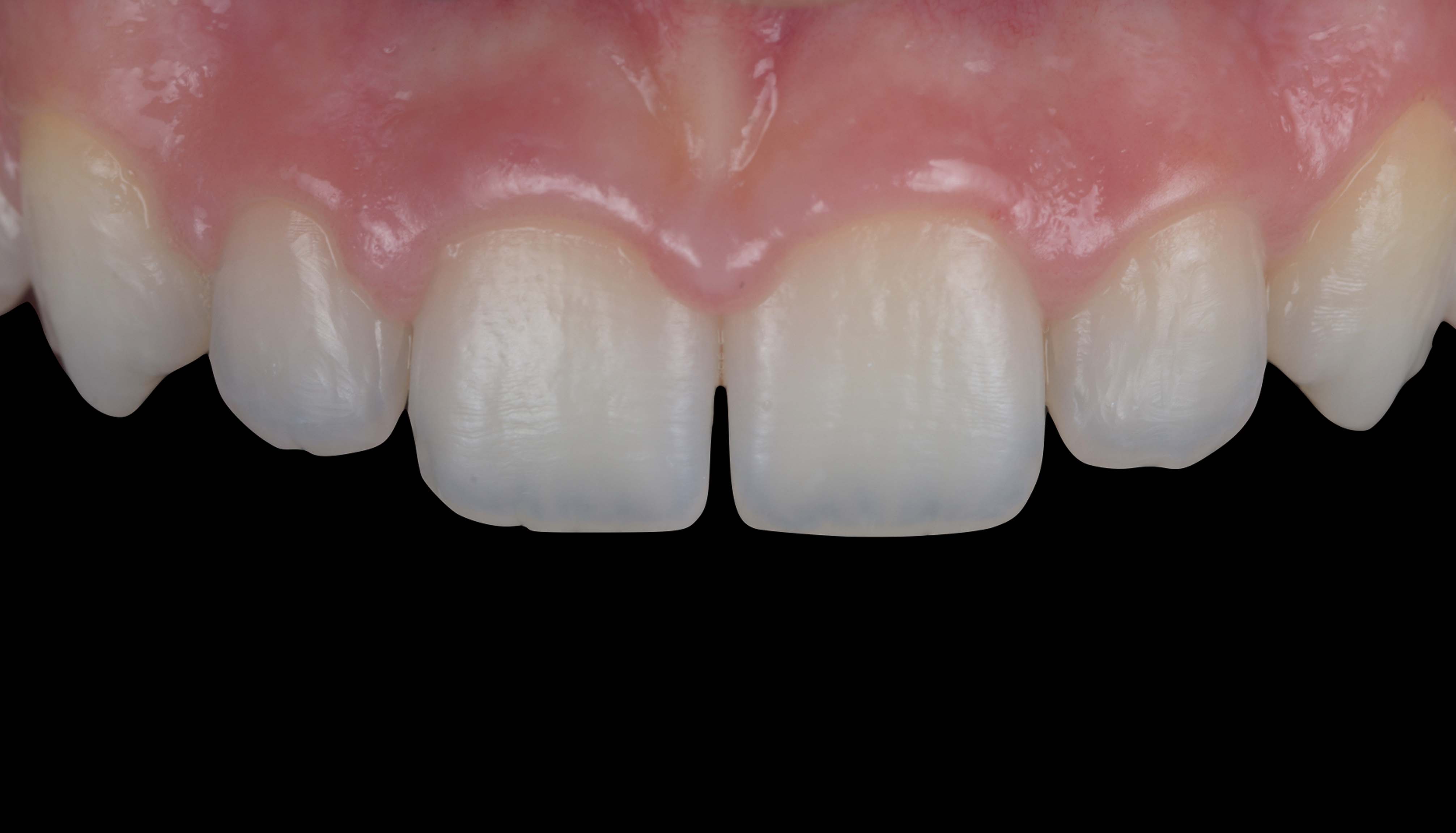
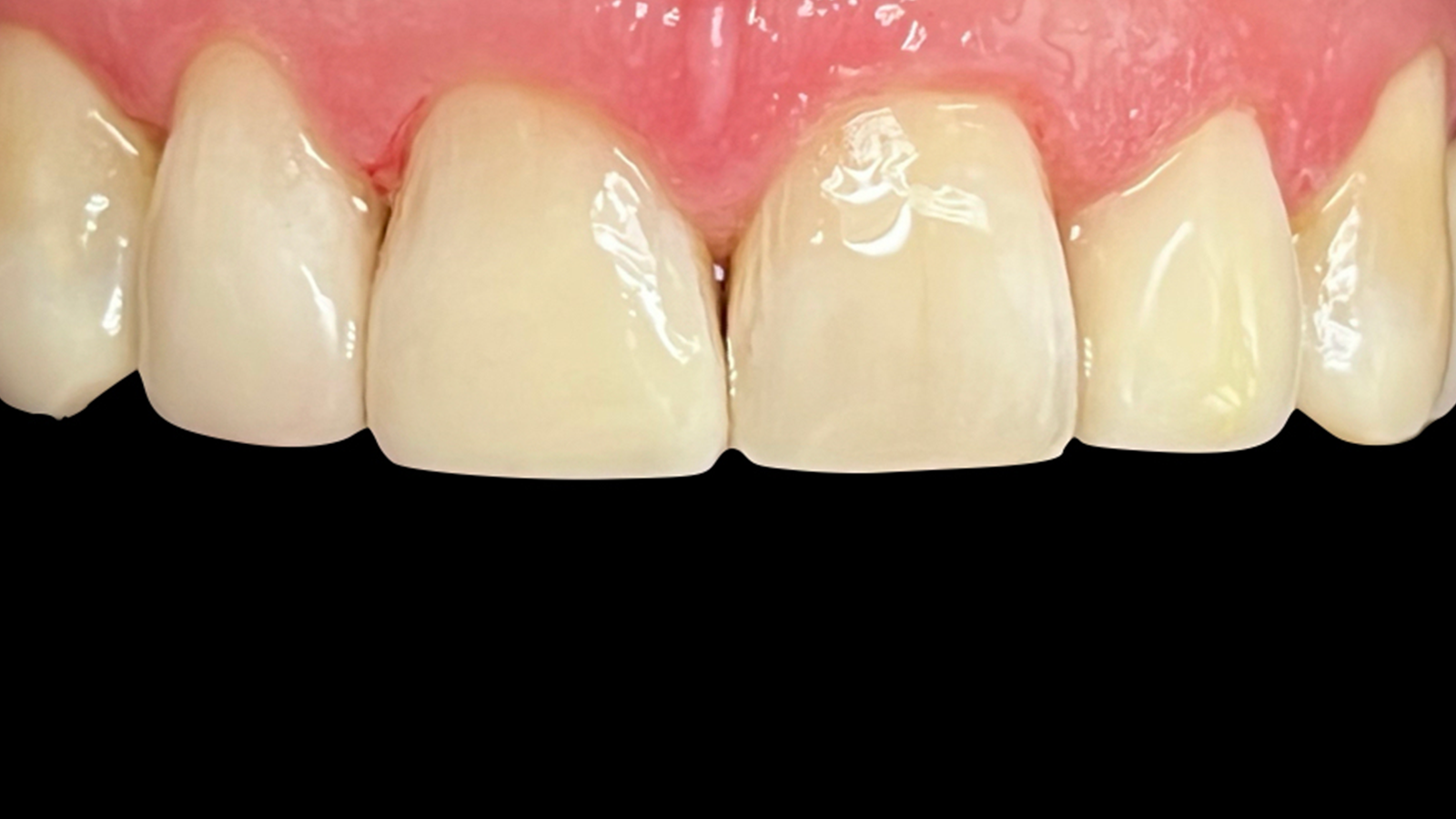
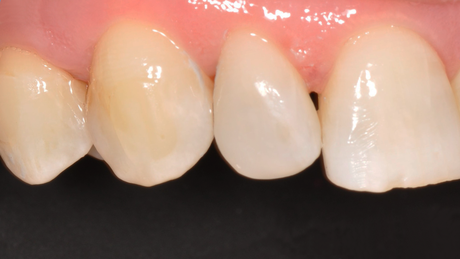
Before
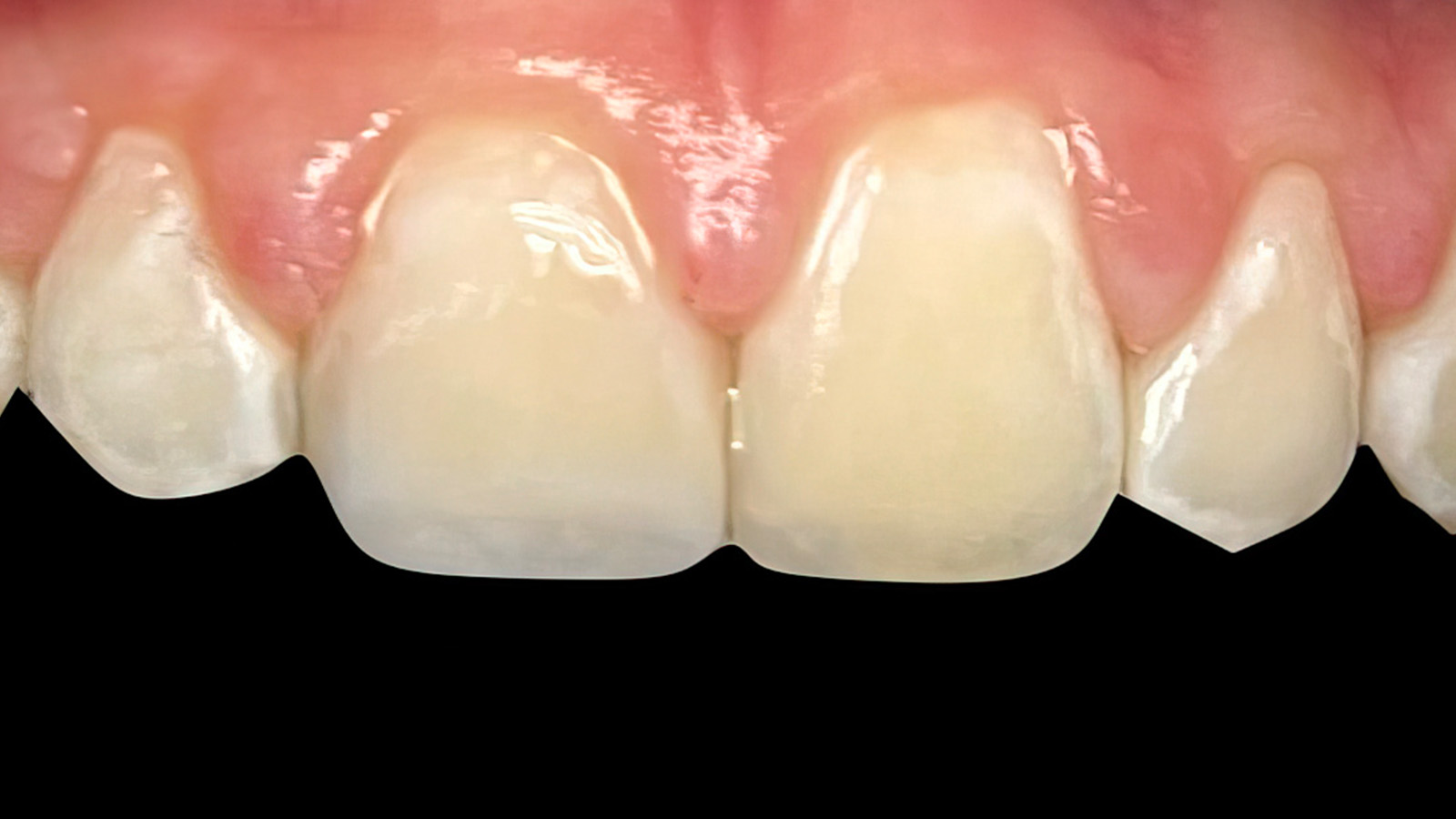
After

Correct anatomical and aesthetical reconstruction of tooth 12 with Venus Diamond MEDIUM (Dr Gianluca D'Oria).

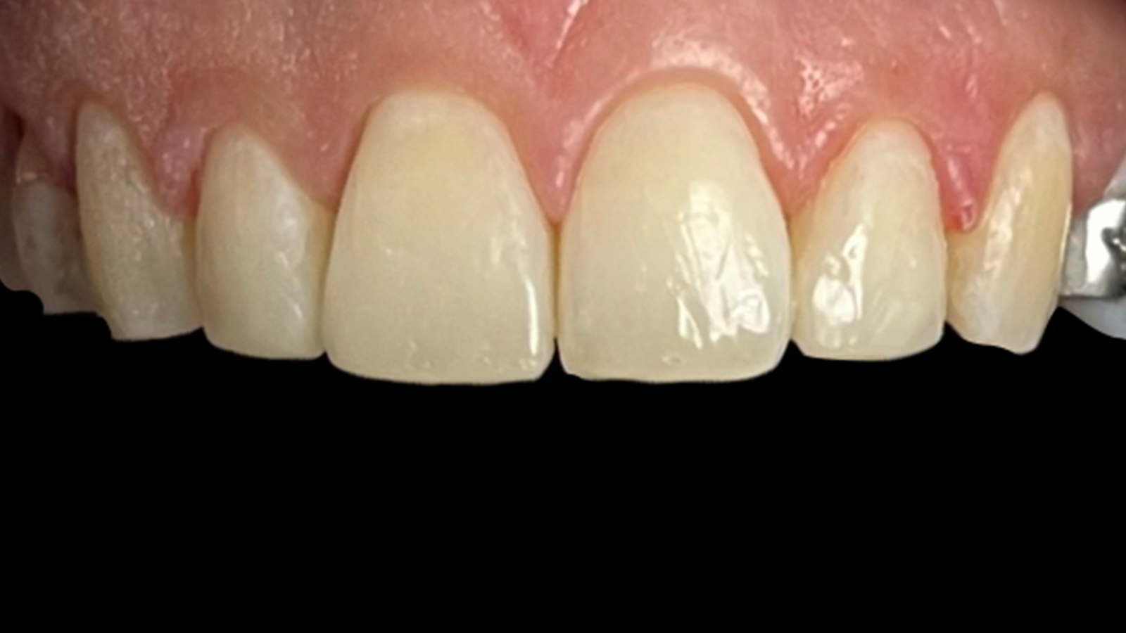
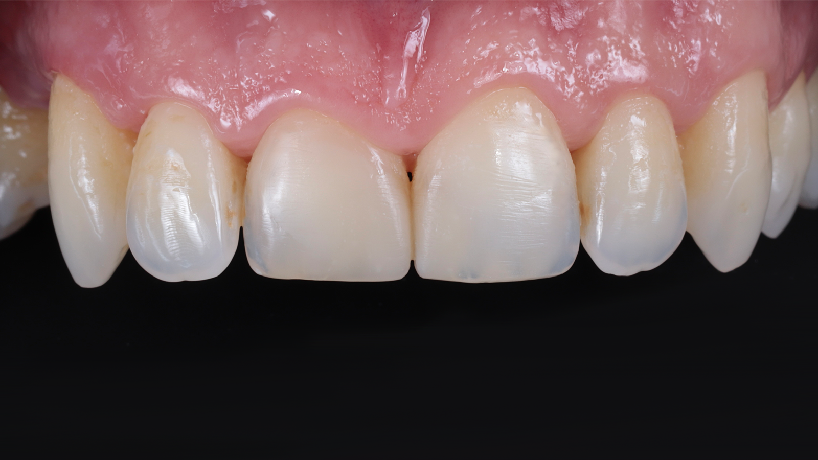
before
After

Class IV restoration at tooth 31 ​with Venus Pearl MEDIUM (Barelli Corbo, Federico).

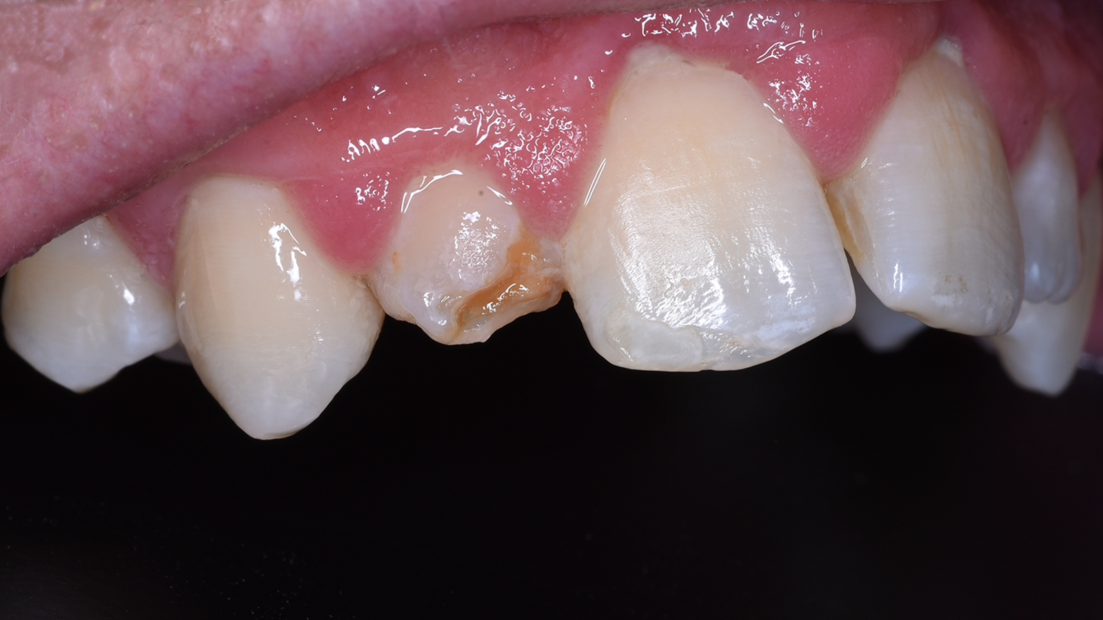
Befor
After

Class IV restoration at tooth 21 with Venus Pearl MEDIUM (Dr Pianticella Corinne).

Before
After

Direct restoration of fractured tooth 12 in monochromatic layering with Venus Diamond DARK (Dr Álvarez Rodríguez).

Before
After

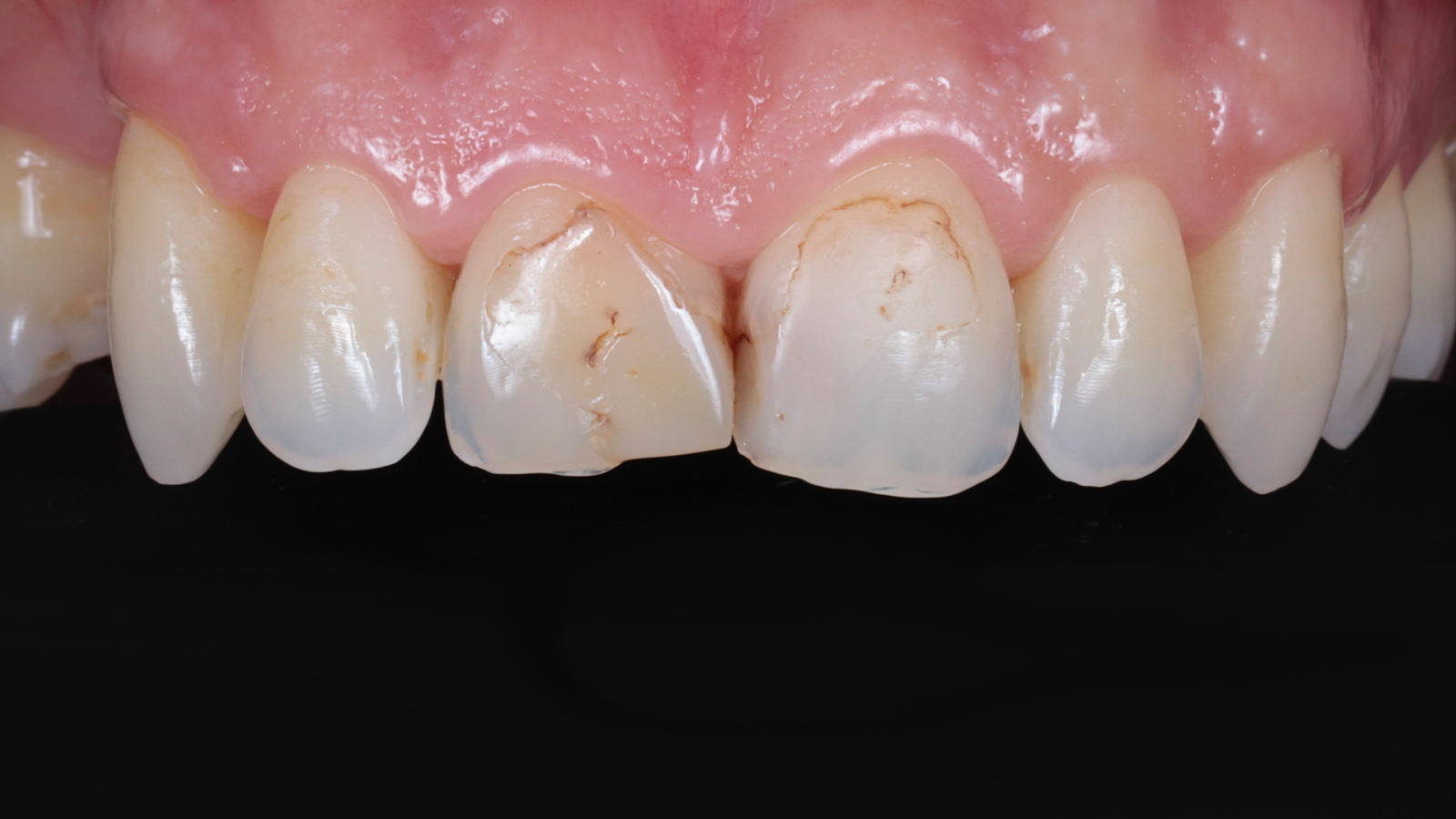
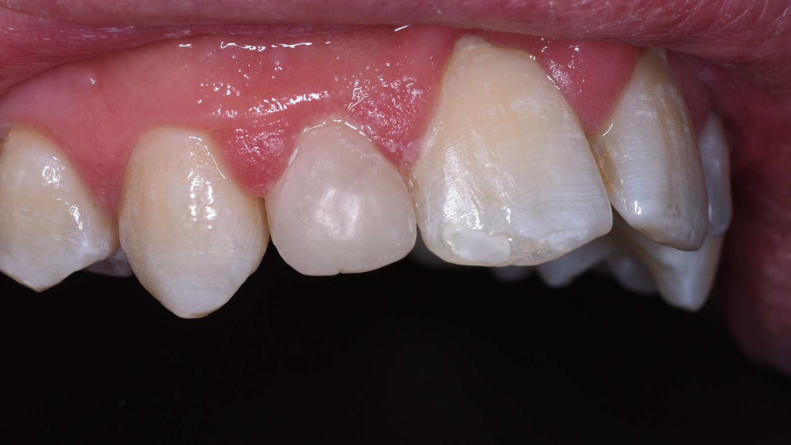
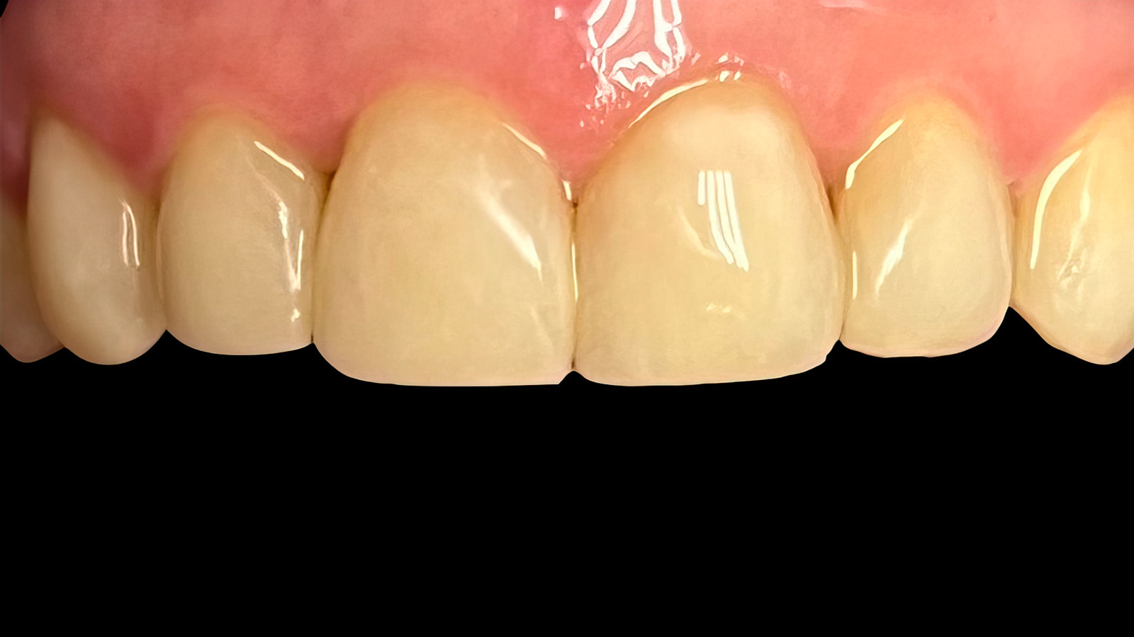
Replacement of insufficient restorations and anatomical correction in the anterior (13 to 23) ​with Venus Diamond LIGHT (Dr Álvarez Rodríguez).

Before
After

Direct repair of fractured 10-year-old composite veneer at tooth 21​ ​with Venus Diamond DARK (Dr Álvarez Rodríguez).

Before
After

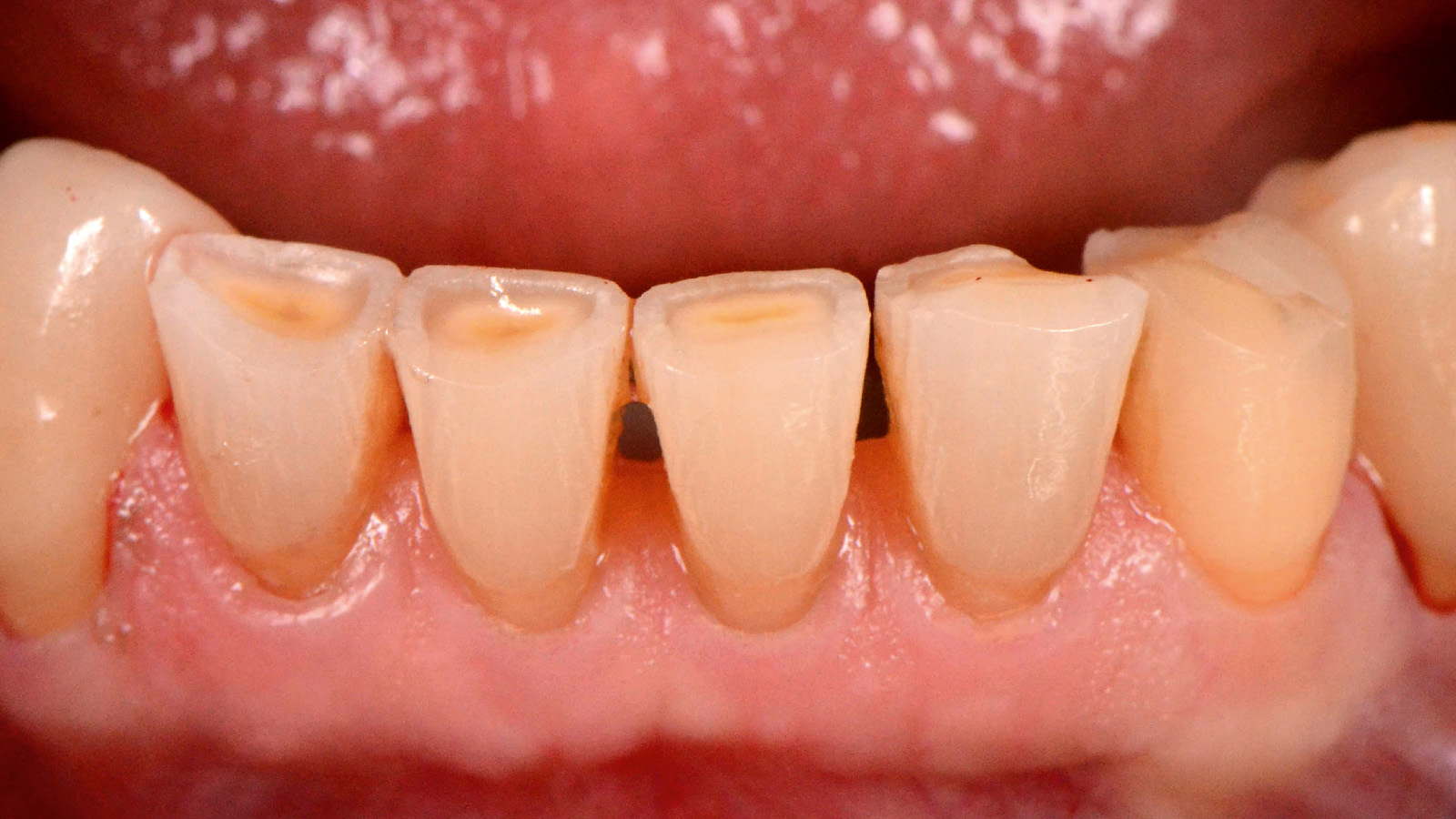
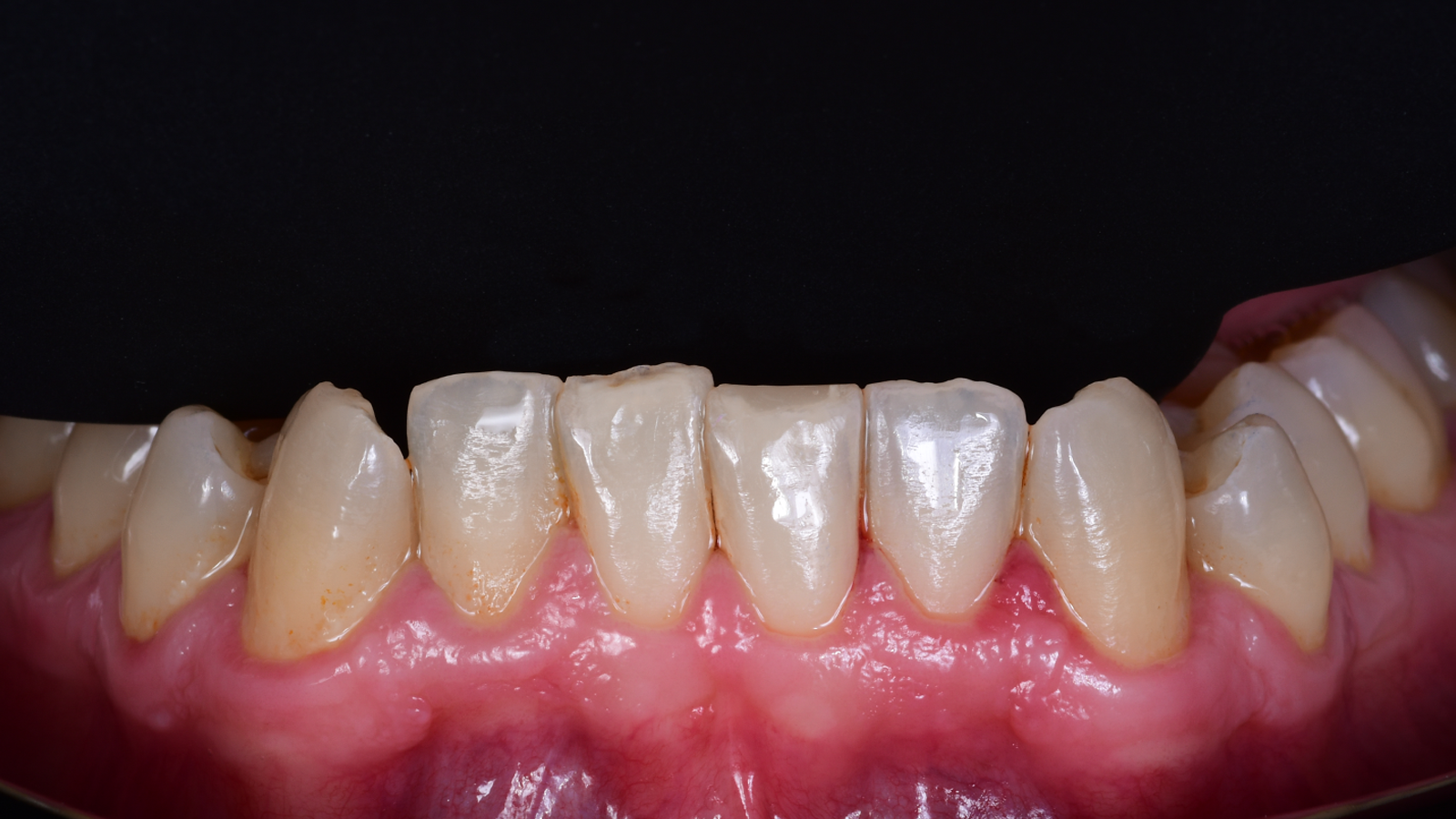
Reconstruction of tooth abrasion in the lower anterior region with Venus Pearl MEDIUM (Dr Francesco Lerda).

Before
After

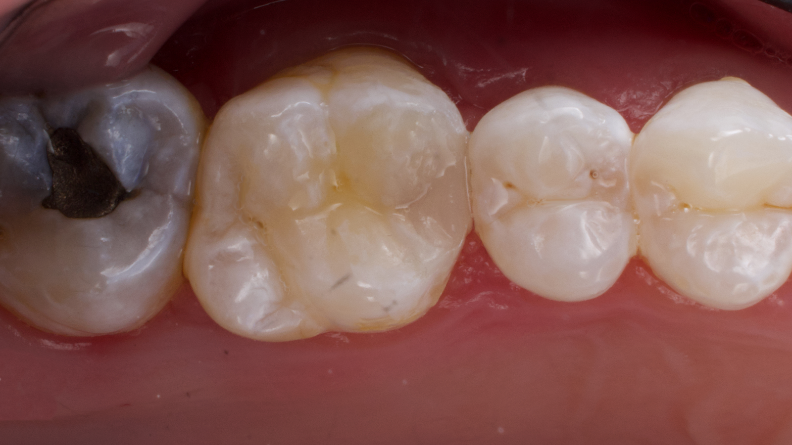
Replacement of an insufficient amalgam restoration with Venus Pearl LIGHT (Dr Siddarth Gupta).

Before
After

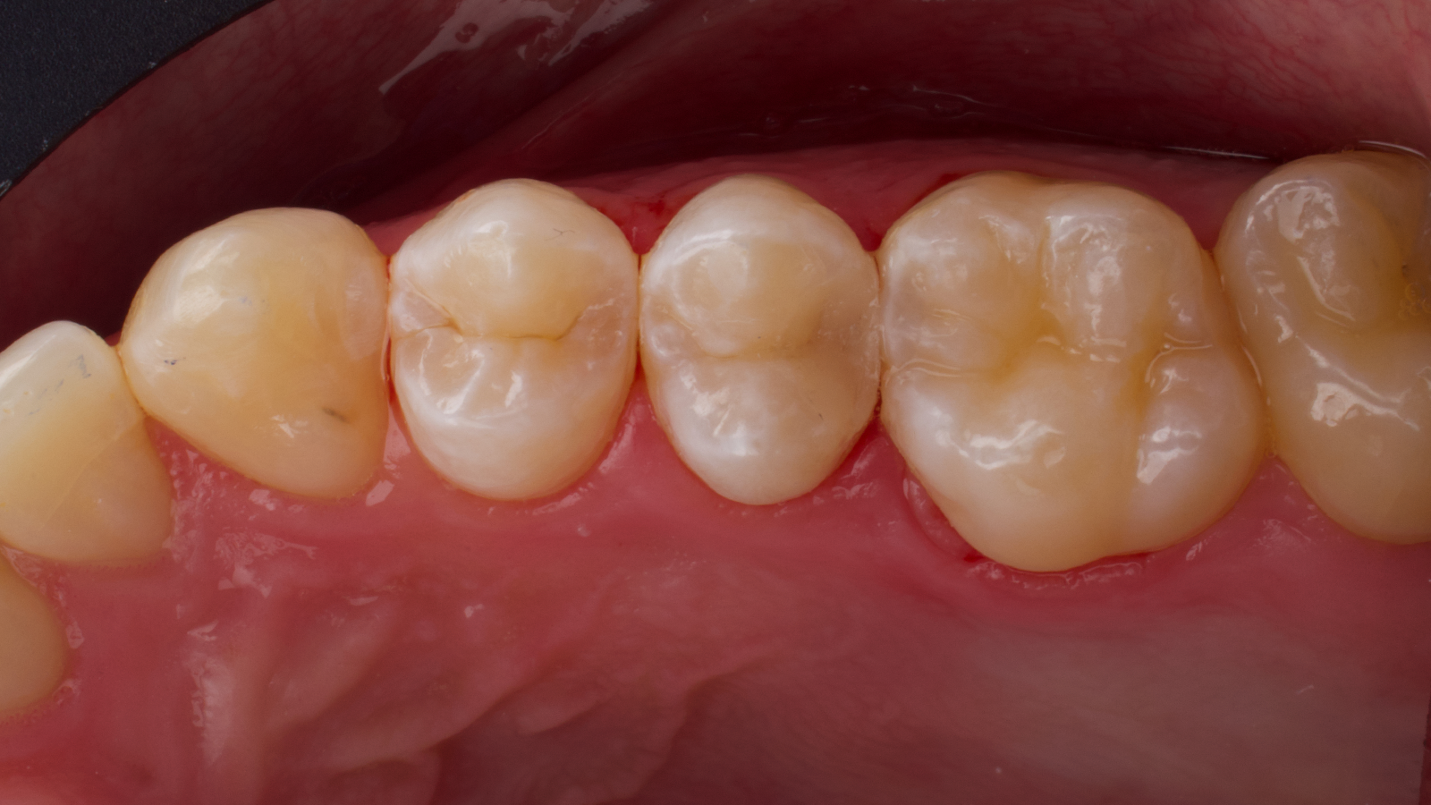
Replacement of insufficient old filling on first molar​ with Venus Pearl LIGHT (Dr Siddarth Gupta).

Before
After

Replacement of insufficient amalgam restoration with secondary caries in second premolar​ with Venus Pearl LIGHT (Dr Siddarth Gupta).

Before
After

Direct morphological restoration of the anterior teeth 12 - 22 with Venus Pearl LIGHT (Dr Alessandro Conti).

Before
After

Replacement of an insufficient restoration at tooth 11 (tooth 21 was restored with a lithium disilicate crown) with Venus Pearl LIGHT (Dr Vincenzo Vitale).

Before
After

Replacement of an old discoloured filling at the lateral incisor (tooth 12) with Venus Pearl LIGHT (Dr Vincenzo Vitale).

Before
After

Aesthetic reconstruction of anterior teeth with Venus Pearl LIGHT (Dr Alicia Serra).

Before
After

Aesthetic reconstruction of anterior teeth with Venus Pearl LIGHT (Dr Alicia Serra).

Before
After

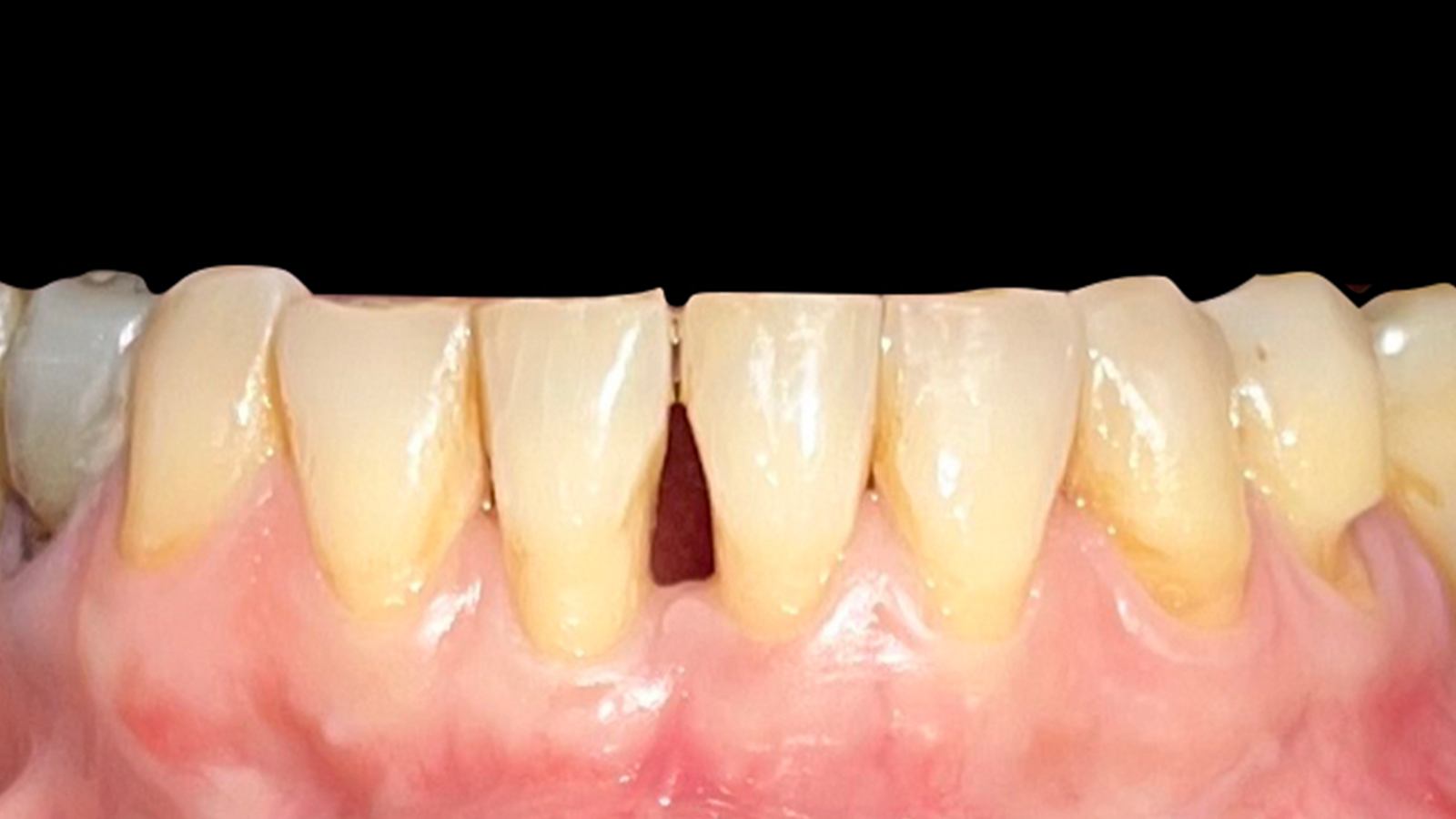
Direct gap closure in the lower front with Venus Pearl MEDIUM (Dr Alicia Serra).

Before
After

Aesthetic reconcstruction of the upper front teeth with Venus Pearl MEDIUM (Dr Alicia Serra).

Before
After

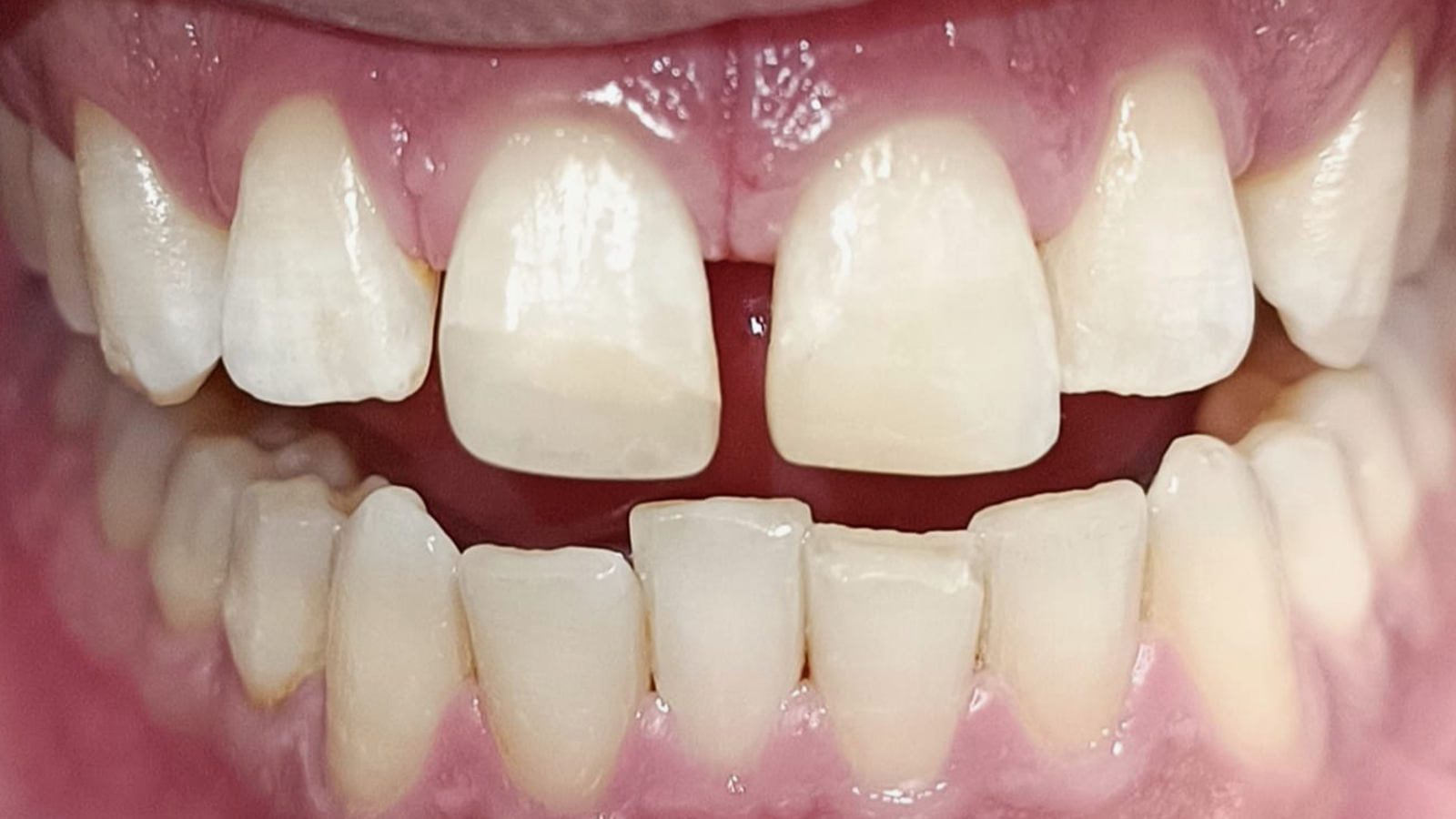
Aesthetic reconstruction of fractured teeth 11 and 21 with Venus Pearl BLEACH (Dr Alícia Serra).

Before
After

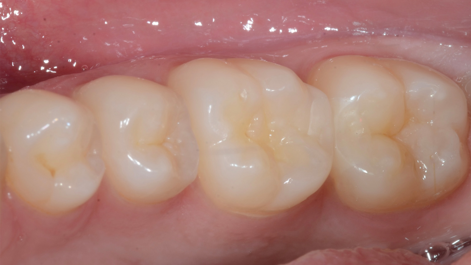
Reconstruction of carious lesions at teeth 36 and 37 with Venus Pearl LIGHT (Dr Filippo Del Curto).

Before
After

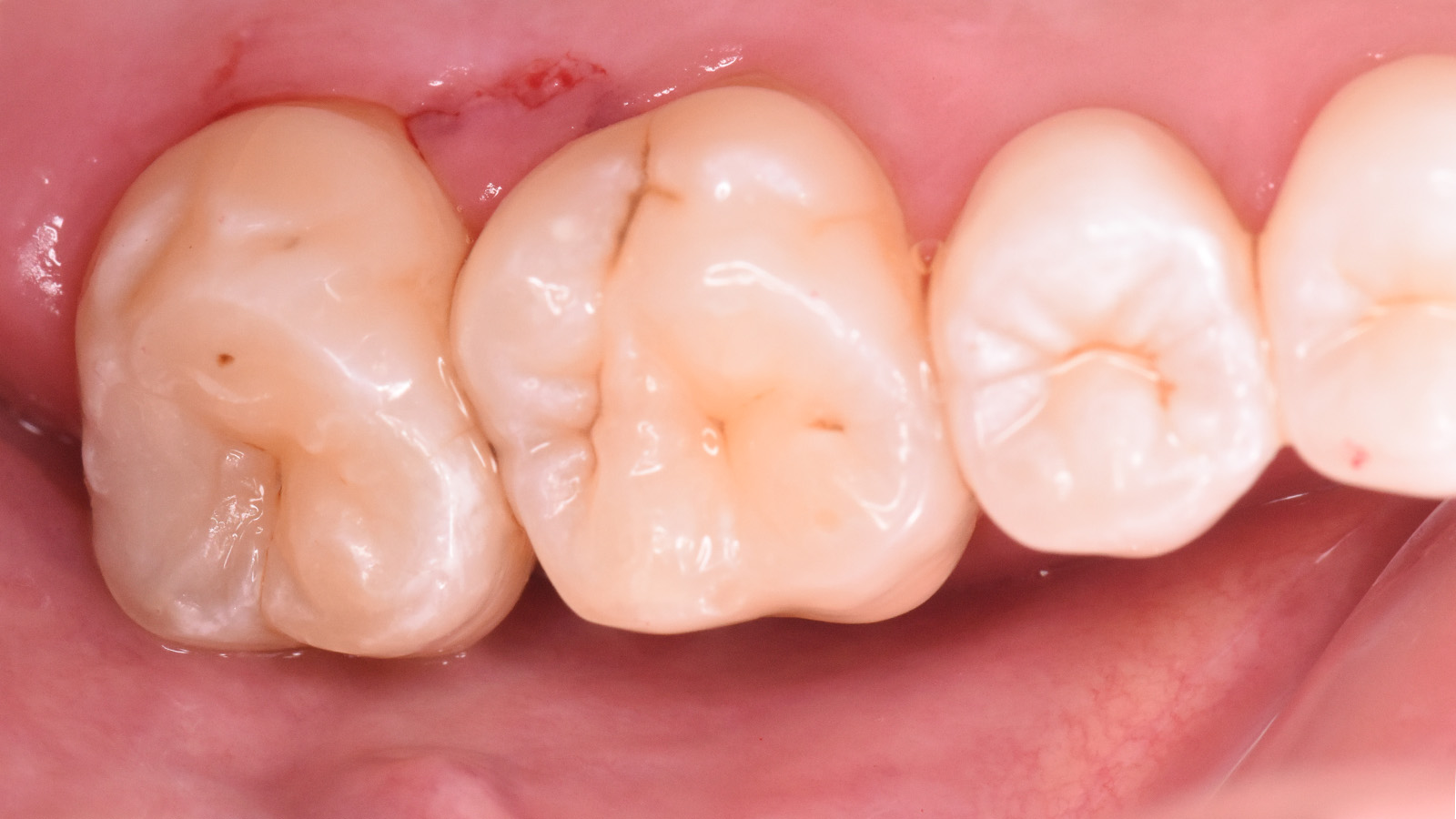
Restoration of occlusal caries lesion in second molar with Venus Pearl LIGHT (Dr Daniel Çaga).

Before
After

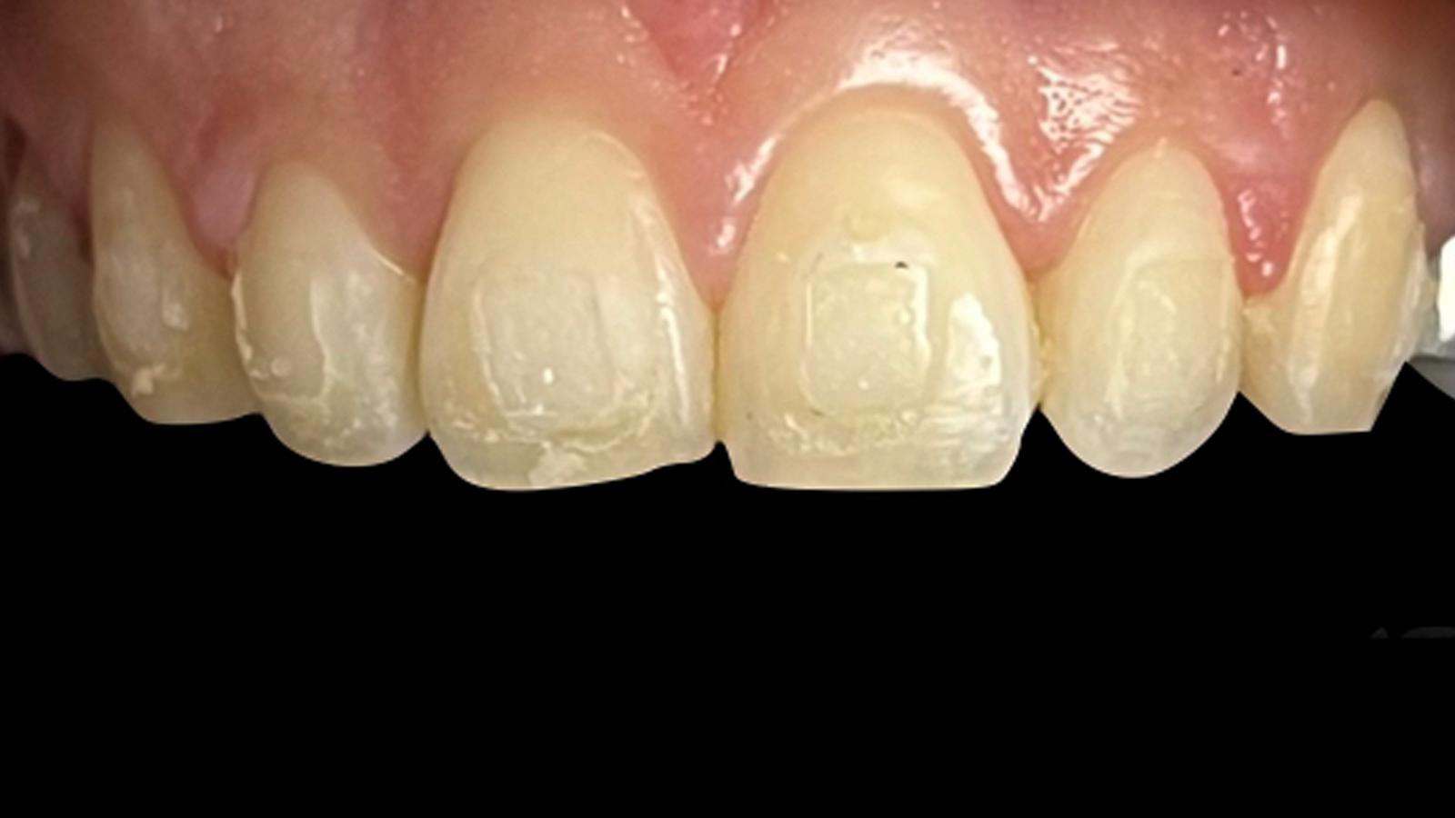
Restoration of strongly damaged anterior teeth with Venus Pearl MEDIUM (Dr Fraser Tait).

Before
After

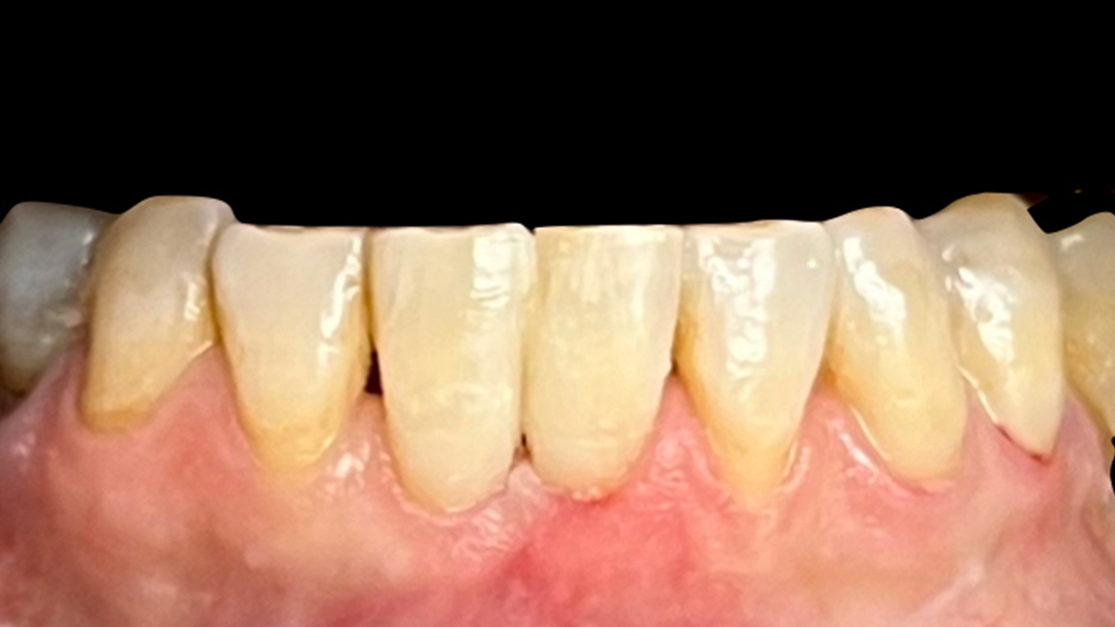
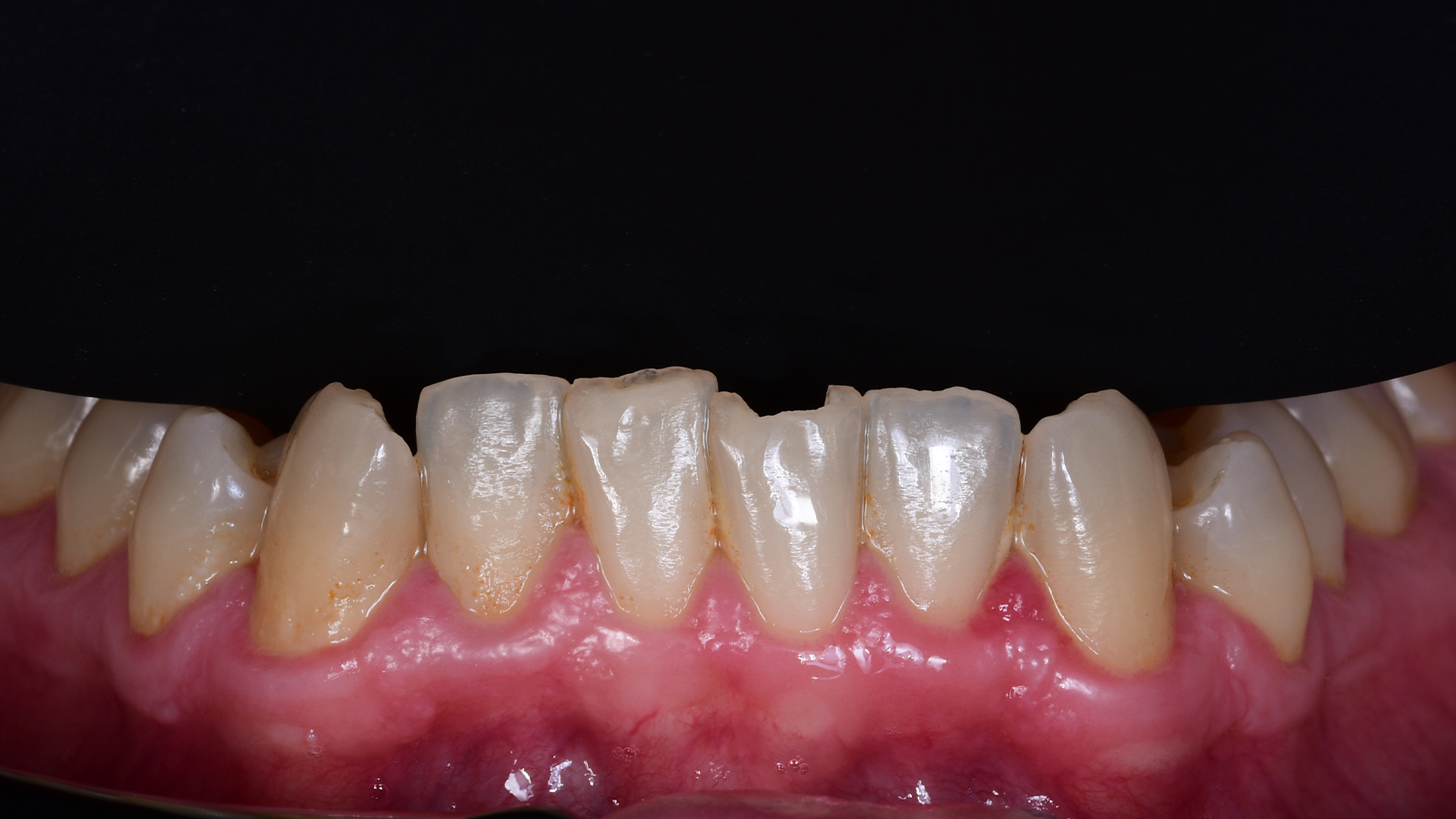
Aesthetic improvement of anterior teeth in elderly patient with Venus Pearl DARK (Dr Lucy Flanaghan).

Watch the webinar recording with StyleItaliano

The Pure code: achieving aesthetic excellence with just 4 shades.

You have missed the webinar with Dr Jordi Manauta? No problem!

Watch the webinar recording
Venus Pearl Pure Shades

Venus Pure

How does more simplicity in your everyday restorations look like?

DISCOVER THE BENEFITS OF THE NEW VENUS PURE
Be part of the Venus Community

Would you also like to be part of the Venus community?

Submit your case

External resources

Source Date Article & author Link
Dentistry September 26, 2024 “Smooth, high gloss result for composite resin restorations” by
Dr Nadeem Younis (English)
Read full article
Dentistry April 16, 2024 “Simple restoration creates illusion of depth” by
Dr Elaine Mo (English)
Read full article
Dentistry June 13, 2025 “Anterior trauma with limited inter-occlusal space” by Dr Andrew Chandrapal Read full article