A clinical case using the simplifying Venus Pearl Pure Shades
Dr Riccardo Baratto, aesthetic dentist, presents a detailed case study of the restoration of two central incisors (teeth 11 and 21) using the Venus Pearl Pure Shade composite in monochromatic layering. This article outlines the step-by-step procedure, highlights the versatility of the product and shows the results achieved in a very simplified technique using a single-shade layering approach.
Step-by-step procedure
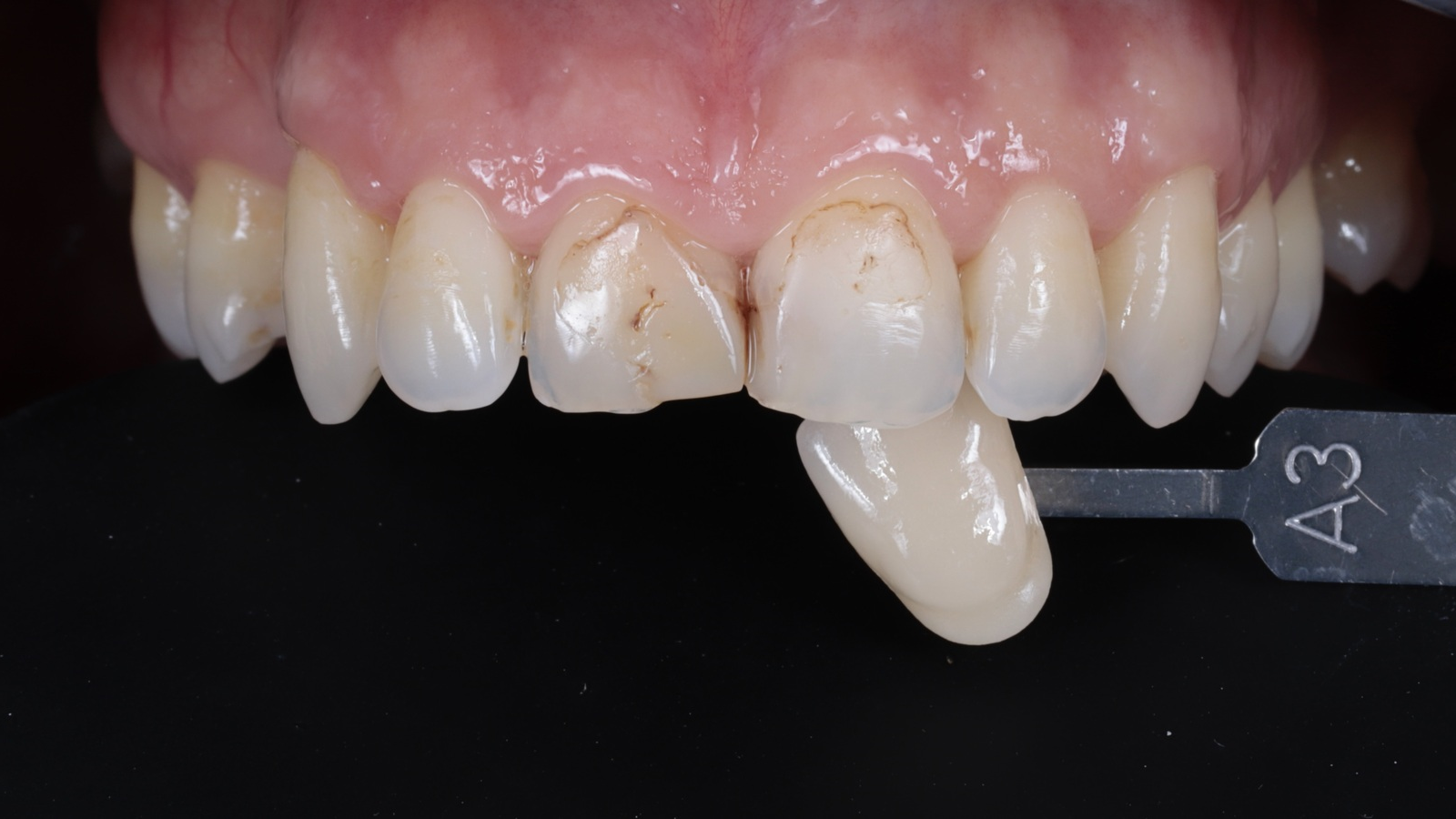
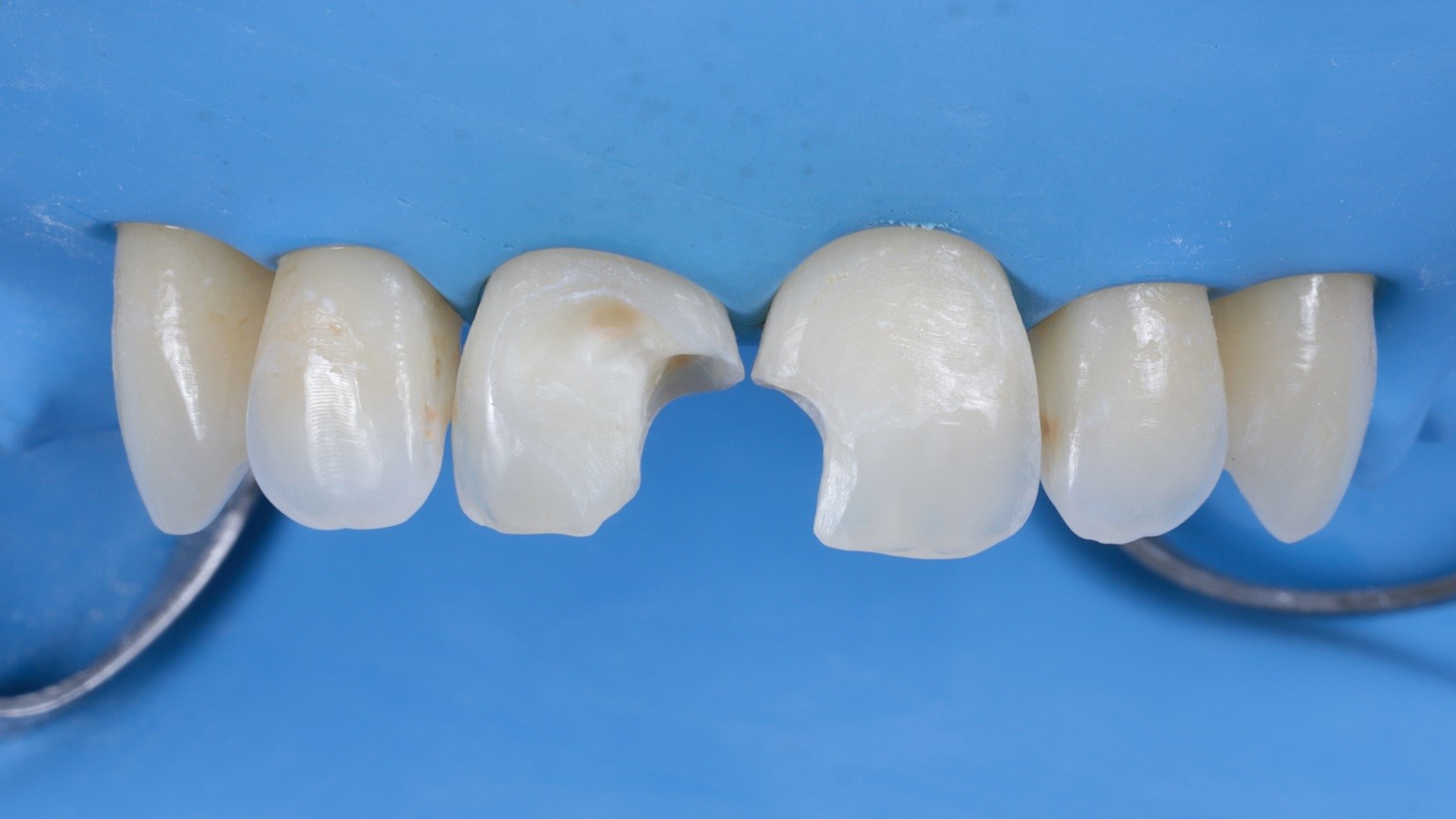
The patient presented with insufficient composite fillings on tooth 11 and 21. The goal was to restore the central incisors with a single shade to achieve a natural, aesthetic appearance.
Shade selection is made easy with Venus Pure Shades: just choose between LIGHT, MEDIUM, DARK and BLEACH. The shade adaptation of Venus Pearl leads to a seamless integration in the natural tooth shade. Using the conversion scale, the MEDIUM shade (matching VITA®*) was selected to match this patient's natural teeth.
| *Vita® is a registered trademark of VITA Zahnfabrik. |
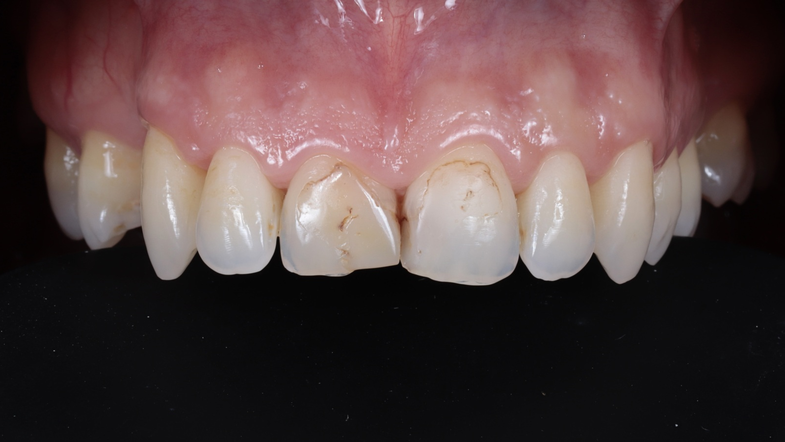
The surgical field was isolated to provide a clean and dry working environment.
The old composite and any decayed tissue was carefully removed to prepare the teeth for the new restoration.
The teeth were etched with 35% orthophosphoric acid and bonded using iBOND Universal (Kulzer).
Venus Pearl MEDIUM was used to reconstruct the teeth in a single-shade layering technique. This approach can speed up the restorative procedure and significantly shorten the treatment time.
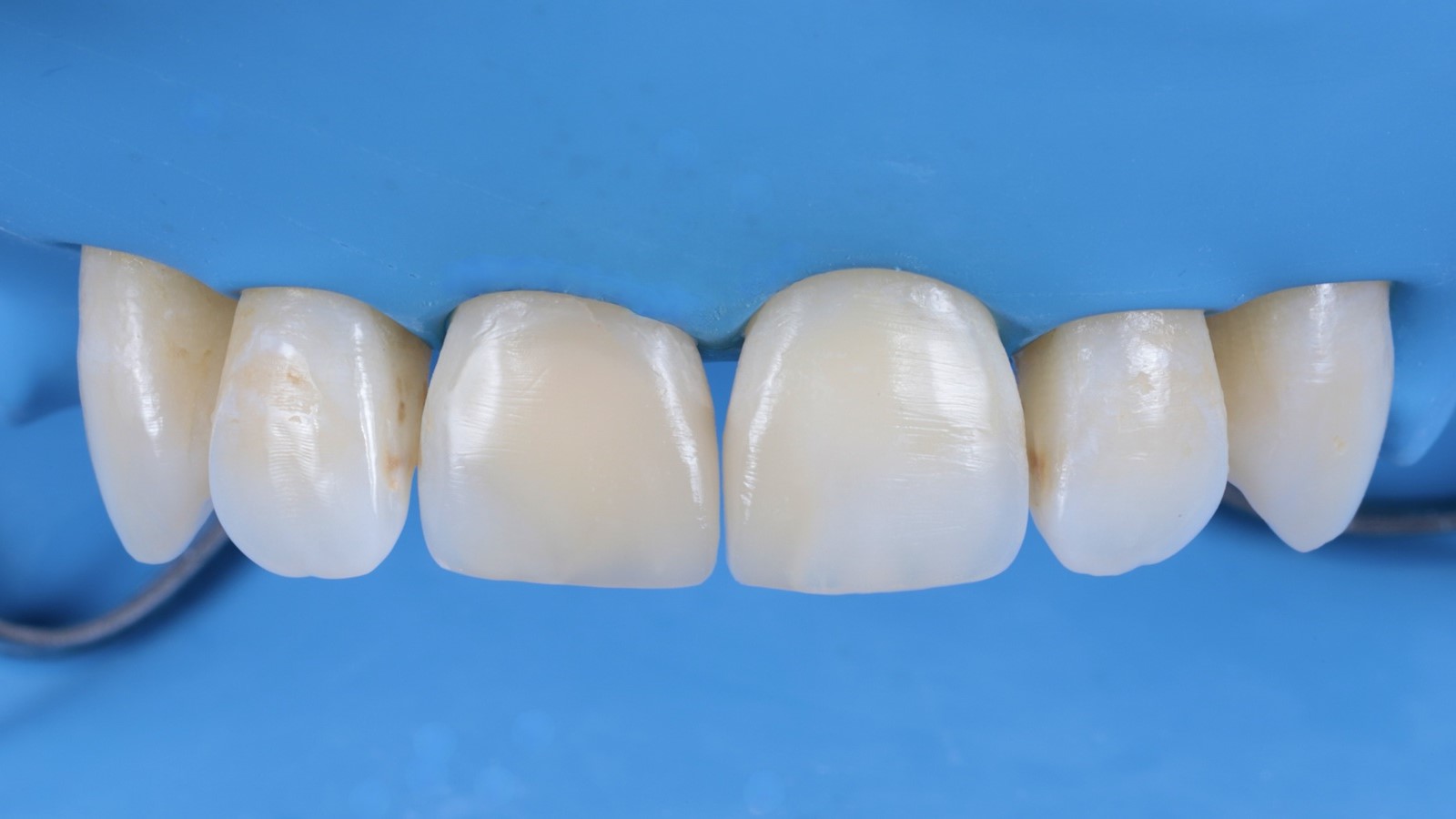
After reconstruction of the teeth with composite the restorations were ready for finishing to refine the shape.
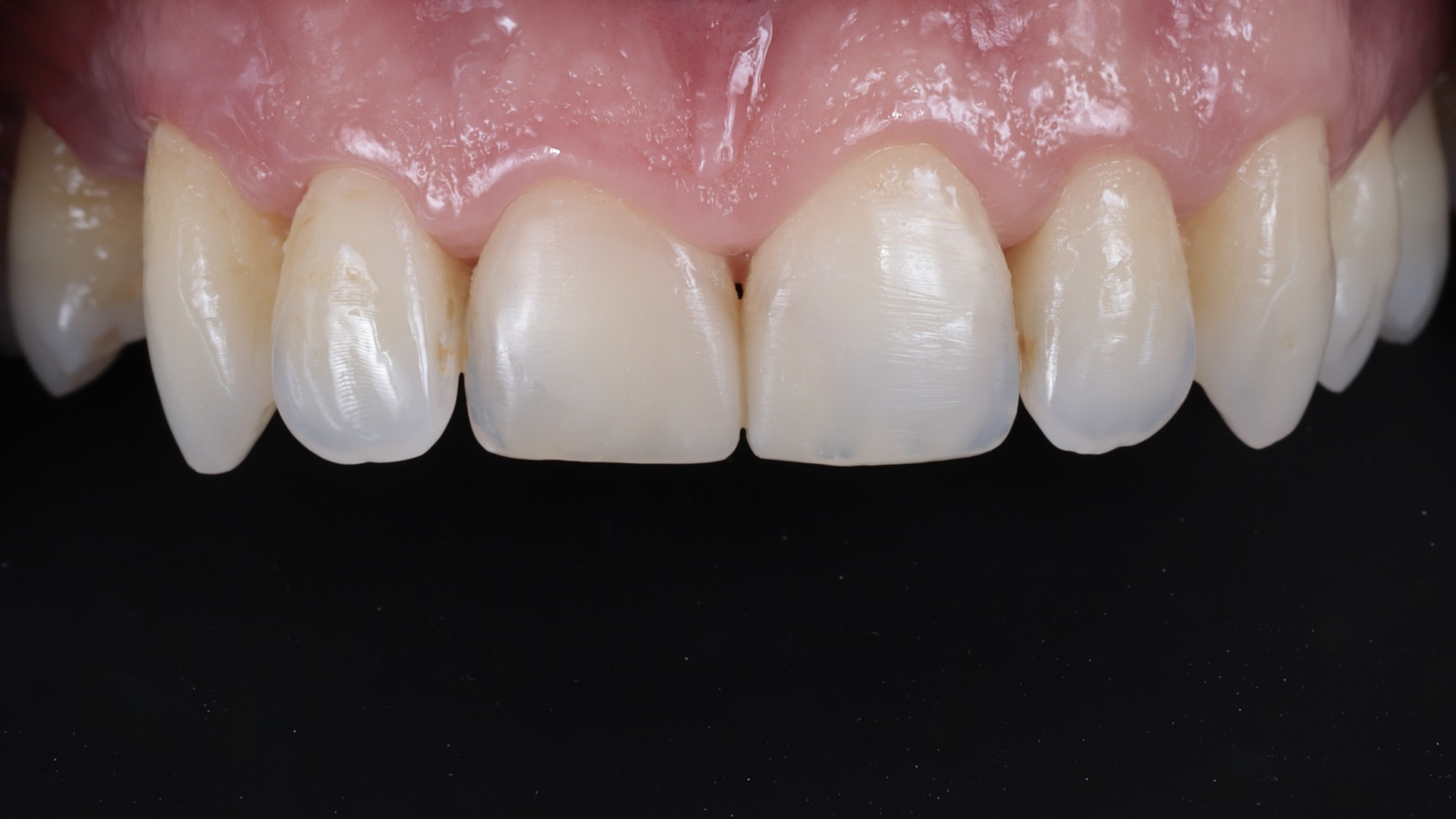
The restorations were polished while still under the dental dam.
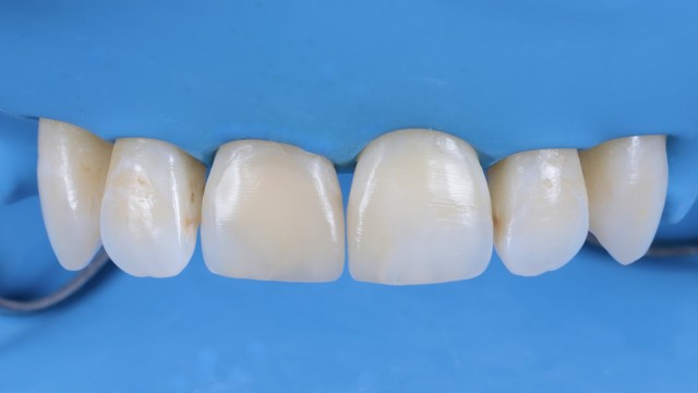
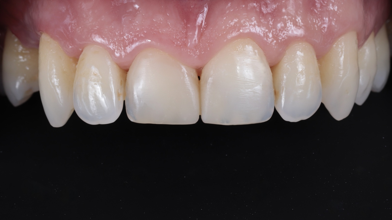
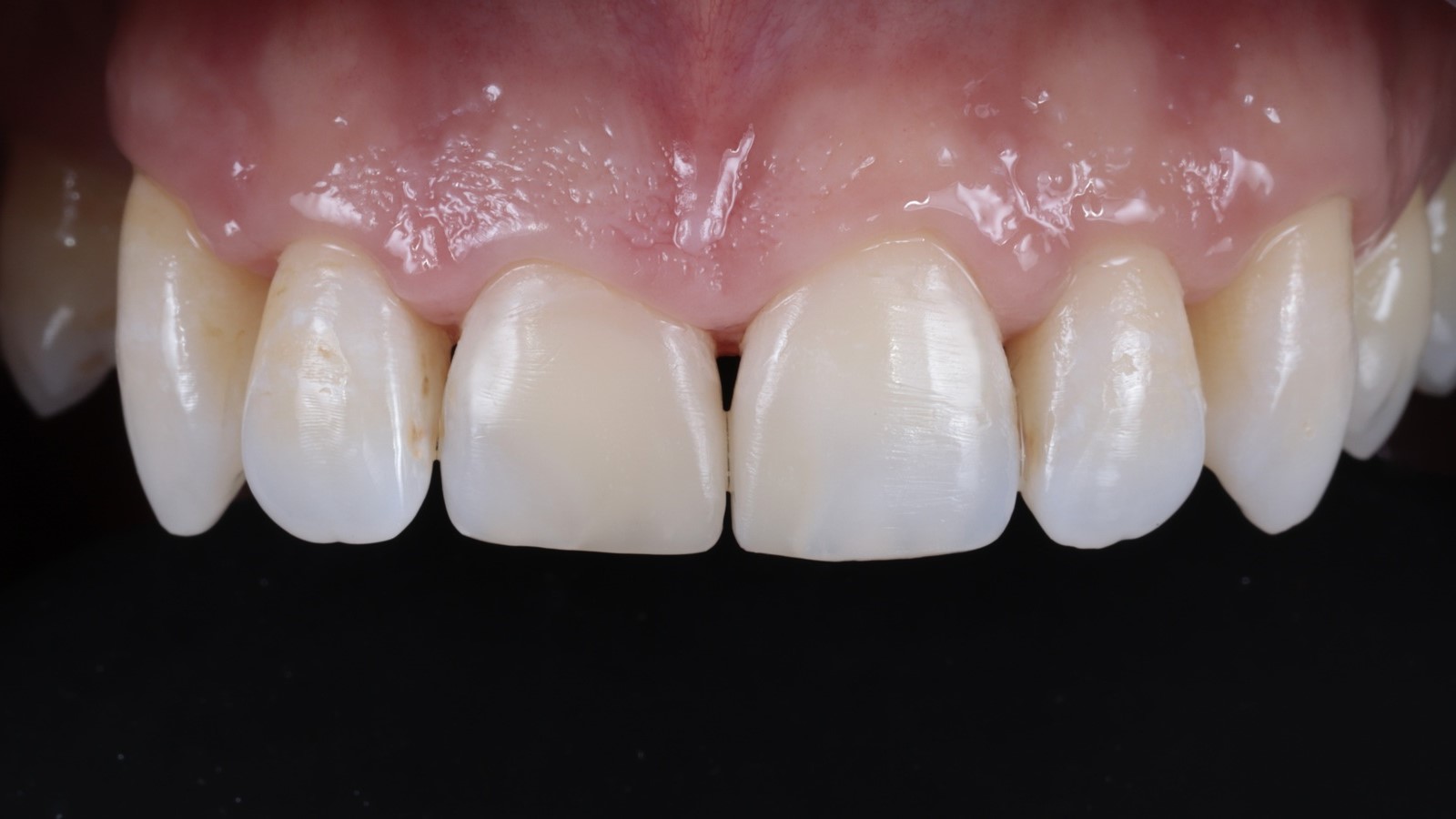
The dam was removed, and the finally polished restorations were revealed.
The restorations achieved complete integration with the natural tooth tissue after rehydration. The composite independently developed areas of translucency based on the thickness created, resulting in a highly aesthetic and natural appearance.
| VENUS PEARL PURE SHADES |
| cover about 90% of anterior & posterior restorations |
| WITH ONLY 4 SHADES. |
| *Vita® is a registered trademark of VITA Zahnfabrik. |
This case study demonstrates the effectiveness of Venus Pearl Pure Shades in achieving natural and aesthetically pleasing restorations, as Dr Riccardo Baratto agrees: “Venus Pearl Pure Shades are a fantastic product. It is very versatile, easy to use and simplifies many aspects of the restoration process. Its ability to set independently in relation to its contour greatly improves the shade setting process.”
Venus Pearl Pure Shades are designed for everyday anterior and posterior restorations. The simple selection of four shades not only simplifies the procedure, but also achieves excellent results in monochromatic layering, while reducing stress and errors in shade selection.
Dr Baratto is a graduate of the Universidad Europea de Madrid, specializing in Endodontics, Conservative Dentistry, Prosthodontics and Aesthetics. He is an expert in aesthetics, having trained under AIC President Federico Ferraris. Dr Baratto works as a freelancer in various practices in Bergamo and Monza Brianza.
Please also refer to the relevant Instructions for Use (IFU) when using the medical product.
Manager Corporate Communications
Matthias Brehmke