A smile makes life more beautiful. Enhance the beauty of life with a smile that goes beyond aesthetics and reflects a genuine sense of well-being and happiness. Let's make those around us happy together.
With a 4-shade system that allows you to cover about 90% of anterior and posterior restorations, it offers a simplified yet effective solution. Enjoy the simplicity of application and the satisfaction of achieving beautiful, effortless results. |
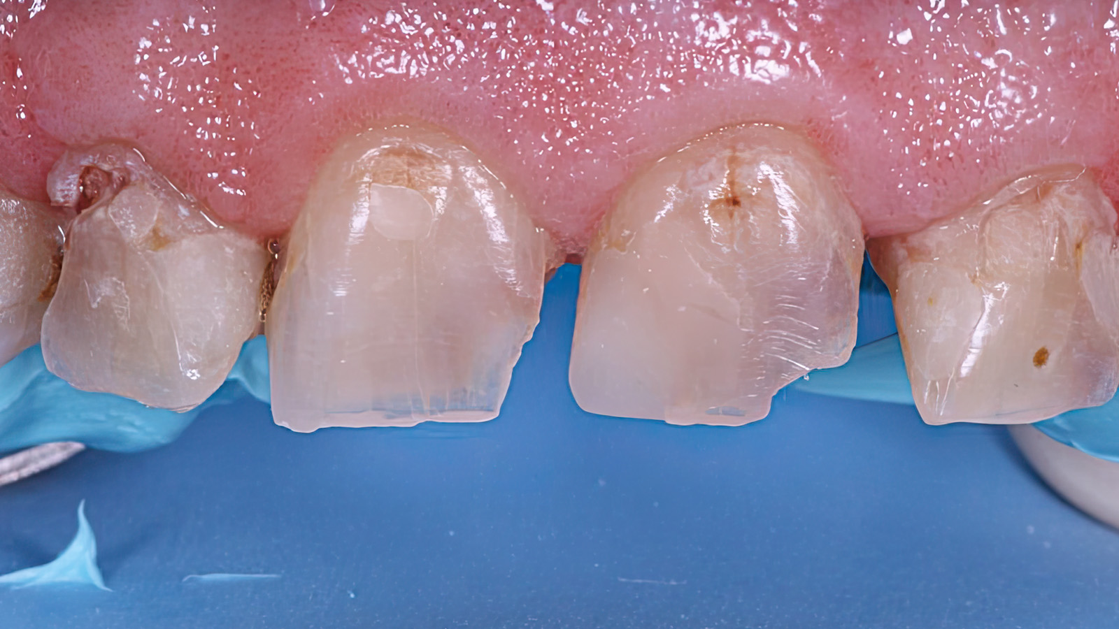
| Its extensive shade palette – including opaque dentin, universal, incisal, and bleach shades – provides unmatched flexibility and clarity. Venus Art empowers you to create individualised solutions that exceed expectations. |
Venus Pure in monochromatic layering
Venus Art
Dive into a world full of clinical excellence, where dental practitioners share their Venus cases, workflows & daily tips – or share your Venus experience with us.
| VENUS PURE |
| "Fast and easy to use. Good aesthetic properties." |
| Dr Jukka Paakkanen, Finland |
| “The patient is happy with her new smile and the composite integration is correct. The simplified Venus Pearl Pure Shades provide a satisfactory and quick result.” |
| Dr Laura Mokhtari, France |
| “For easy, predictable results, even in anterior region.” |
| Dr Vincenzo Vitale, Italy |
| "Don’t need a shade guide and patients love it.” |
| Dr Lucy Flanaghan, UK |
| VENUS ART |
| "With good polishing technique, this composite can look fantastic even after 4 years without any maintenance apart from great oral hygiene by the patient." |
| Dr Mahmoud Ibrahim, UK |
| "Venus Color provides the perfect final touch for restorations that blend seamlessly with natural dentition. It’s the detail that makes all the difference." |
| Dr Janine Schweppe, Germany |
Curious to see how others bring Venus to life in their daily practice? Explore more authentic stories, practical tips and shared experiences.
Discover Venus & Friends
ISOLATION
Perfect Tooth Isolation
Maintain a clean working area effortlessly.
➤Ivory Rubber Dams & Clamps
BONDING
All-purpose convenience.
The universal adhesive for any bonding technique and all indications.
For a confident bond.
Bonding with confidence in the Etch&Rinse technique.
Safe Etching
Etch enamel and condition dentine based on orthophosphoric acid.
FILLING
Flowability for details
Perfect control in hard-to-reach areas.
➤ Venus Diamond Flow
Efficient posterior cavity filling
Quick bulk-filling with natural shade matching.
➤ Venus Bulk Flow ONE
Flowability for details in the anterior & posterior
Achieve seamless restorations with a cremier consistency.
➤ Venus Pearl
Durable anterior & posterior restorations
Achieve seamless restorations with a firm consistency.
➤ Venus Diamond
Lifelike restorations
Mimic natural tooth characteristics for personalised results.
➤ Venus Color
POLISHING
Effortless Polishing
Achieve a lasting high gloss in two easy steps.
➤ Venus Supra
Contact